南溪山医院完成桂北地区首例3D打印桡骨小头置换术治疗肘关节恐怖三联征

发布时间:2024-08-01来源:南溪山医院 阅读:

  近日,广西壮族自治区南溪山医院在创伤骨科与手外科领域取得了重大突破,依托上海交通大学医学3D打印创新研究中心南溪山医院分中心平台,成功实施了桂北地区首例3D打印桡骨小头置换术,用于治疗复杂的肘关节恐怖三联征。这一创新技术的应用,标志着南溪山医院在数字外科领域迈出了坚实的一步,实现了从传统医学向精准医学的跨越。


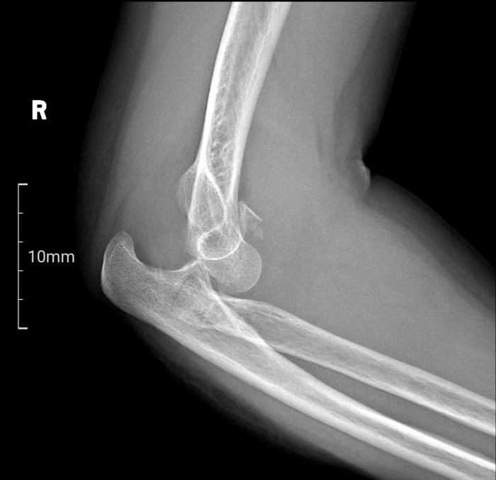
术前二维影像

  肘关节恐怖三联征,作为一种复杂的肘关节骨折脱位类型,同时涉及肘关节后脱位、桡骨头骨折及尺骨冠突骨折三种损伤,其治疗难度极高。面对这一挑战,南溪山医院创伤骨科与手外科张立主任团队凭借其丰富的临床经验和前瞻性的技术视野,决定采用先进的3D打印技术为患者提供个性化治疗方案。

  患者梁女士因不慎跌倒导致右肘关节疼痛并活动受限,经X线检查确诊为肘关节恐怖三联征。面对这一复杂病情,张立主任迅速组织科室医生及3D打印中心技术人员进行病例讨论,并决定采用3D打印桡骨小头置换术进行治疗。

  术前,南溪山医院3D打印中心利用高精度扫描技术获取患者肘关节的三维数据,并进行参数化分析,为患者量身定制了3D打印桡骨小头假体。这一假体不仅与患者骨骼高度匹配,还能在手术中即插即用,极大地缩短了手术时间,并确保了手术的精准性和安全性。

  3D打印中心负责人程家乐表示:3D打印桡骨小头置换术是一项结合了先进3D打印技术和骨科手术的创新治疗方法,它在处理复杂骨折、骨肿瘤切除后的重建以及关节功能恢复等方面具有巨大的潜力。

  手术由张立主任及贵鹏医师团队共同完成。术中,医生们通过5厘米的切口暴露骨折部位,并依据术前规划精准处理骨折断端。随后,3D打印桡骨小头假体被顺利植入,实现了对桡骨头关节面的完美重建。术后,患者恢复顺利,基本功能得到有效恢复。

  张立主任表示:“3D打印技术的应用为复杂骨折的治疗提供了全新的解决方案。它不仅能够根据患者的具体情况定制假体,实现精准匹配和个性化设计,还能有效减少手术创伤和并发症的发生。未来,我们将继续探索数字外科技术的应用领域,为患者提供更加精准、个性化的治疗服务。”

  此次3D打印桡骨小头置换术的成功实施,不仅展现了南溪山医院在创伤骨科与手外科领域的领先地位和技术实力,也为桂北地区乃至全国的骨科医生提供了宝贵的经验和启示。随着数字化技术的不断发展,南溪山医院将继续致力于将先进科技应用于临床实践中,为患者带来更加优质、高效的医疗服务。

  图文 张立 贵鹏


责任编辑:雷渝
相关信息
合作机构
生活网简介 | 网站地图 | 广告价格 | 联系我们 | 法律声明 | 建站服务 | 投稿