气道肿物“堵路”,医生妙手巧切除

发布时间:2024-08-21来源:南溪山医院 阅读:

  近日,南溪山医院呼吸与危重症医学科一病区成功完成一例内镜下支气管内肿物切除术,标志着医院呼吸介入诊治能力达到了国内先进水平,可以为气管肿瘤患者提供更精准的微创治疗。

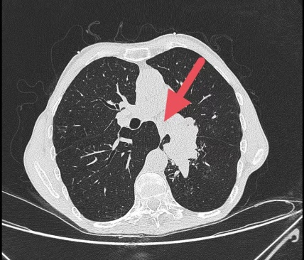
  患者莫先生(化名)1个月前开始出现咳嗽、咳痰,并逐渐出现胸闷、憋气,走路时呼吸困难,且症状进行性加重。曾在多所医院就诊,但效果都不理想。经过朋友推荐,莫先生慕名前往自治区南溪山医院寻求帮助。在进行诊疗时,莫先生表现出轻微活动后即出现显著的呼吸困难,且在未吸氧状态下,其末梢血氧饱和度低于85%(正常范围应超过95%)。通过肺部CT扫描及支气管镜检查,发现其左侧主支气管被新生物阻塞,伴随有肺不张和严重的肺气肿,肺功能评估结果极差。

术前

术后

  面对这样的紧急情况呼吸与危重症医学科学科带头人兼一病区科主任佘巍巍博士认为,要解决患者气喘问题,当务之急是尽快去除气道内肿瘤,打通气道。

  由于莫先生稍微活动就气喘明显,血氧饱和度低下,手术风险大,此外,再加上莫先生合并强直性脊柱炎,脊柱畸形弯曲,大大增加了气管插管和手术操作难度。呼吸与危重症医学科一病区的介入团队对患者病情进行了深入的了解,并进行了充分的讨论,同时制定了详尽的应急预案。经过慎重考虑,最终决定采用硬镜与电子支气管镜相结合的方式进行气道肿瘤切除手术,以期迅速缓解患者的呼吸困难状况,并确保其生命安全。

术中剪影

  麻醉成功后,佘巍巍博士娴熟地为患者插入了硬镜,然后配合电子支气管镜下电圈套器切除、冷冻冻取、活检钳钳除及氩气刀等多种手段对肿瘤进行切除,历时30分钟左右,肿瘤完全切除,左侧的主支气管恢复通畅。术后,患者呼吸困难症状减轻,次日就可以自如的下床活动且没有明显气喘不适,复查肺部CT和气管镜示左侧气道通畅,左下肺已经复张,为患者后续治疗争取到宝贵的时间。

术前

术后

  据了解,支气管镜下圈套电切的主要适应症为气管、支气管腔内各种良性肿物的根治;各种炎性、手术、外伤及异物性肉芽肿的切除;失去手术机会的气管、支气管腔内恶性肿物的姑息性治疗。

  佘巍巍博士提示:无论良性还是恶性的气管肿物均会引起气道阻塞和气道狭窄,从而引起咳嗽、咳血、胸闷气短、呼吸困难等呼吸道症状,还可能导致阻塞性肺炎、肺不张,肺部感染等一系列并发症。如得不到及时治疗和处理,患者会出现呼吸衰竭、窒息、严重感染等症状,甚至可能危及生命。

  内镜下支气管内肿物切除术是一种微创、有效、经济的治疗手段。为保障患者的生命健康,南溪山医院呼吸与危重症医学科一病区长期致力于学科建设的加强,并积极规范地开展治疗新技术为桂北地区人民健康保驾护航。

  通讯员  陈旭


责任编辑:雷渝
相关信息
合作机构
生活网简介 | 网站地图 | 广告价格 | 联系我们 | 法律声明 | 建站服务 | 投稿