攻克新高度 | 桂医二附院完成一例高难度冠脉支架手术

发布时间:2024-09-06来源:桂林医学院第二附属医院 阅读:

  近日,桂林医学院第二附属医院心血管内科二病区成功完成一例复杂冠脉病变、不稳定心绞痛危重患者的复杂冠脉支架植入术。

  该患者为一名70岁高龄男性患者,9年前,因出现活动后胸闷、胸痛不适到医院就诊,行冠状动脉造影提示严重冠状动脉三支病变,因考虑血管病变严重,该院邀请了外院知名专家为该患者行冠状动脉支架植入术,但因患者右冠脉为血管慢性闭塞病变且钙化严重,处理右冠闭塞病变失败,后选择处理了左前降支及回旋支严重狭窄病变,共植入支架4枚,术后患者胸闷胸痛症状一定程度上缓解,但患者爬3楼以上楼梯仍可诱发心绞痛发作,近1年多来胸闷胸痛症状加重,一般步行300米左右可诱发心绞痛症状发作,经亲友介绍,抱着试一试的心态,来到了桂医二附院心血管内科二病区就诊。

  入院后,安排该患者完善相关检查,提示目前患者血管病变严重,左前降支近段狭窄70%-80%、粗大对角支近端90%狭窄,左回旋支中远段支架内完全闭塞,前向血流TIMI  0级,可见少量侧枝逆向血流,右冠状动脉中近段完全闭塞,前向血流TIMI  0级,可见同侧少量侧枝循环逆向血流。

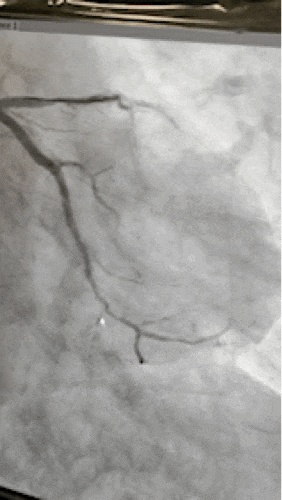
  9年前右冠脉为慢性闭塞病变,目前依然是CTO病变,但有少量自身侧枝循环,病变较前更加复杂了。

9年前在回旋支植入的2枚支架

  目前支架内完全闭塞

  心血管内科二病区主任王新云结合病史、体征及检查结果,进行全面评估后指出,患者心脏3根主血管闭塞2根,目前患者进展为缺血性心肌病,心功能低下,而且冠脉病变复杂:一根冠脉闭塞9年以上同时钙化明显,没有闭塞残端,手术难度大,另一根冠脉为支架内完全闭塞,为支架内闭塞的CTO病变,血管走行弯曲,同样手术难度及复杂程度高。患者仅剩的一根心脏血管“前降支”本身也有问题,所以患者病情很危重同时手术难度大、风险大。

  经充分讨论患者的病情,王新云手术团队认为首先处理左冠脉风险极大,因为处理左冠回旋支病变会影响到左主干及前降支血流(患者心脏供血目前主要靠前降支血流支持),患者术中发生低血压,甚至发生心源性休克及心脏骤停风险极高;其次选择首先处理右冠脉风险相对低些,但面临手术难度大,闭塞右冠脉无明确残端让人无从下手,闭塞时间长9年以上,闭塞段长,钙化严重(病变难以通过、使用硬度高的导丝强行通过病变容易穿孔引起心包填塞),9年前曾经外请专家手术没能解决右冠闭塞问题。

  最终手术团队确定手术策略,首先开通长时间闭塞的右冠脉,其次在右冠脉再通加强心脏供血支持下二次手术解决左冠脉问题。

  术中王新云团队在血管内超声引导下,在选择微导管及强支撑力导管支持下,使用多种不同硬度及特性的钢丝反复调整方向尝试,最终通过闭塞段至右冠状动脉远端,同样使用了边支球囊锚定技术使预扩张球囊通过硬度很高的钙化病变处,并扩张再通闭塞多年的冠脉... ...成功在右冠植入支架3枚, 8月份,患者再次入院,同样成功完成了左冠回旋支支架内闭塞再通手术。

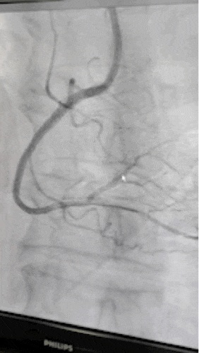
开通了9年前就闭塞的右冠脉

开通了回旋支支架内闭塞病变

  术后患者恢复良好,术前一般步行300米左右可诱发心绞痛发作,术后目前患者快速步行3-4公里无心绞痛发作,心功能也得到明显改善,提高了患者生活质量,为了表达感激之情,患者及家属特意定制了一面锦旗,上面写着“医德高尚医术精 为我从此获新生”,以此传递他们的谢意。

  王新云表示,目前我国的心血管疾病逐步呈高发态势,心血管疾病是居民致死率最高的疾病,严重威胁人民群众生命健康。为保证患者第一时间得到有效救治,对于急性胸痛患者来说,早识别、早呼叫、早确诊、早救治十分关键。很多患者麻痹大意有病不治,自以为是随便服药,耽误抢救时机懊悔莫及。在此呼吁大家如有胸痛疑似症状请及早就医。

  文、图:游利嫦


责任编辑:雷渝
相关信息
合作机构
生活网简介 | 网站地图 | 广告价格 | 联系我们 | 法律声明 | 建站服务 | 投稿