自治区南溪山医院成功开展腹腔镜下原位隧道法脾脏全切术

发布时间:2024-09-23来源:南溪山医院 阅读:

  近日,自治区南溪山医院肝胆胰脾外科为患者实施腹腔镜下原位隧道法脾脏全切术,手术的顺利开展,体现了医院在腹腔镜手术治疗方面的雄厚实力。

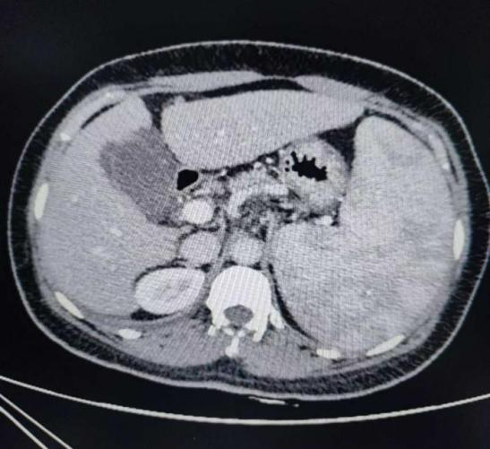
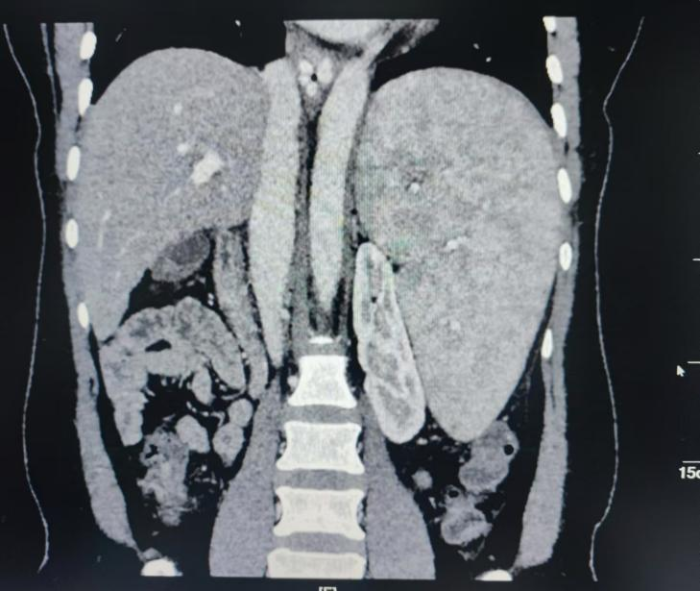
  患者蒋女士今年50岁,从2018年至今已经有五次食管胃底静脉破裂出血病史,做3次胃底静脉硬化治疗。半月前胃底再次出血,入住自治区南溪山医院消化内科。经评估病情后考虑患者乙肝后肝硬化巨脾脾功能亢进,白细胞、红细胞、血小板“三系”减低,多次硬化剂治疗再次出血,有手术指征,经肝胆胰脾外科会诊后拟全麻下行全麻行腹腔镜下脾切除术+贲门血管离断术。

术前CT检查

  患者转入肝胆胰脾外科后,肝胆胰脾外科杨志坚副主任医师根据患者门静脉高压侧枝循环扩张,为尽可能减少操作步骤从而减少出血,采用腹腔镜下原位隧道法脾脏全切术,无需解剖脾门血管减少出血风险结合应用血液自体回收技术顺利完成手术。手术后第一天,付出白细胞、红细胞、血小板数已呈现上升趋势。围手术期通过应用加速康复外科以及肝硬化腹水全流程管理,患者在术后无明显腹水,并于6天后康复出院。

  据南溪山医院肝胆胰脾外科副主任杨志坚介绍,脾切除术既属于治疗手段,又属于预防手段。一方面去除了肿大的脾脏以消除脾功能亢进,另外方面又离断了食管胃脾区的门体侧支以预防食管胃底静脉曲张出血。腹腔镜手术因巨脾占位效应,导致手术操作空间狭小,加之脾脏血管异常扩张,血管变薄极易造成大出血导致手术失败,对手术医生要求较高。相比开放手术,腹腔镜下手术的切口面积小,创伤少,有助于缓解疼痛降低机体炎性反应,对患者免疫力影响较小。腹腔镜操作模式下,患者肠管内部环境稳定而且术中不会对肠管产生严重挤压,有助于病情短时间内恢复。

蒋女士腹部伤口

传统开腹伤口

  自治区南溪山医院肝胆胰脾外科常规开展腹腔镜微创技术,用更小的创伤、更快的恢复、更好的治疗效果为桂林市肝胆外科患者的健康保驾护航,今后,专科将继续在专业领域上深耕细研,进一步提高专业能力,用扎实的功底和前沿的技术水平,助力医院高质量发展。


责任编辑:雷渝
相关信息
合作机构
生活网简介 | 网站地图 | 广告价格 | 联系我们 | 法律声明 | 建站服务 | 投稿