自治区南溪山医院支气管硬镜术突破“一线天”困境,为患者撑开“呼吸之门”

发布时间:2025-02-11来源:南溪山医院 阅读:

  2025年春节期间,广西壮族自治区南溪山医院呼吸与危重症医学科二病区成功完成两例四级呼吸内镜高难度手术,救治两名因气道严重狭窄导致呼吸困难的危重症患者,展现了呼吸介入技术在急危重症救治中的重要作用。

  67岁的梁先生,因突发呼吸困难至当地医院就诊,急救车奔波两百公里送至南溪山医院呼吸与危重症医学科二病区,入科时,患者半卧位呼吸,口唇紫绀,静息状态下即感气紧,双肺闻及哮鸣音。立即完善检查发现气管内有肿物,堵塞管腔约80%,伴心肌标志物升高、高血压,心肺功能不全,死亡风险极高。

  面对紧急情况,呼吸与危重症医学科二病区主任屈东明博士迅速组织麻醉科和内镜中心小组协助急会诊,带领呼吸介入团队李海斌副主任医师一起制定详细手术计划,决定采用全麻下支气管硬镜下肿瘤切除术,在支气管硬镜直视引导下,鞘管成功铲切下一大小约20X15mm肿物,术后患者呼吸困难明显缓解!梁先生终于又可以自由呼吸!

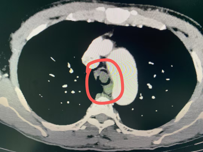
  同样呼吸困难的情况也发生在54岁的黄先生身上,黄先生因食管癌晚期,在外院经多次放疗和化疗后疾病仍进展,春节期间突发明显呼吸困难至当地医院就诊,当地医院完善肺部CT后发现黄先生的食管肿瘤已严重压迫气管,气道呈现“一线天”改变,最狭窄处仅剩余5mm不到。

  看着黄先生痛苦不已,家属心急如焚,打听到自治区南溪山医院院呼吸与危重症医学科二病区有神奇的呼吸介入手术可缓解呼吸困难,遂于春节期间紧急转至该病区。屈东明博士查看资料后迅速组织完善术前检查,呼吸介入团队联合麻醉科、内镜中心联合制定个性化方案。在全麻下行沙漏型硅酮支架植入术,术中发现患者情况更为严重,因肿瘤侵犯气管扭曲,鞘管无法通过最狭窄部位,同时支架推送器也无法通过鞘管。呼吸介入团队经过商量后迅速调整手术方案,终于成功植入气道支架,患者从“命悬一线”到自由呼吸!

  屈东明博士介绍:硬质气管镜下置入支架,通俗来讲,就是在不开刀的情况把狭窄的气管扩张到趋于正常气道的大小。气管支架置入术是一项高风险、高难度的医疗技术,尤其是恶性肿瘤压迫气道狭窄的患者。动作轻了、慢了,支架无法通过狭窄或者卡在了狭窄部位,有可能造成患者窒息,手术失败。动作用力过猛,又很有可能造成气道损伤加重,术后并发症增多。

  此项手术拥有微创、经济、术后恢复快的优势,硬质气管镜充分发挥了管腔大、视野好、治疗中央气道病变的效率和安全性高的优势。可实施多种便捷、安全、高效的大气道介入治疗措施。无论是良性还是恶性肿瘤导致的气道狭窄,呼吸介入手术可以有效解决问题,已成为南溪山医院呼吸学科特色诊疗方式。未来,呼吸与危重症医学科二病区介入团队将继续探索气道介入治疗的前沿技术,为更多患者架起生命的桥梁。

  通讯员:卢业权


责任编辑:雷渝
相关信息
合作机构
生活网简介 | 网站地图 | 广告价格 | 联系我们 | 法律声明 | 建站服务 | 投稿