新冠疫情开放后曾有一段时间,
“你阳过了吗?”
成为最流行的问候语。
当时我院接诊了一位特殊的“新冠患者”,
莫先生反复头痛四天,
自以为加入了“小阳人”的队伍,
便自行服用止痛药,
谁知症状没改善反而进一步加重!
莫先生感觉不对劲立即到医院就诊。

术前影像
桂林医学院第二附属医院神经外科对莫先生进行了详细的检查。住院观察期间,莫先生症状加重,头晕头痛明显,左侧肢体有明显偏瘫现象,且频繁昏睡,瞳孔扩大,术前处于昏迷状态。医生结合莫先生病史、症状以及CT检查等表现,诊断其为右侧丘脑脑脓肿。
神经外科负责人李深誉立刻组织骨干医师进行病例讨论,认为患者脑脓肿大,占位明显,随时有破溃发生脑膜炎、脑疝可能,脓肿一旦破溃,随时有生命危险。经过慎重考虑,决定立即为患者进行脑脓肿清除术。

李主任查看术前计划
本次手术在神经外科机器人辅助下进行,通过直观、全面的术前路径规划和机器人的辅助定位,精准完成了微创穿刺引流手术清除患者脑内脓肿。患者莫先生术后复查头颅CT显示脓肿清除满意,置管位置精准。术后莫先生神志清醒,言语清晰,左侧肢体偏瘫明显好转,独立行走已不成问题,整体状态改善良好。
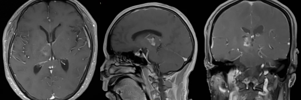
近日,莫先生回到医院复查,头颅磁共振提示脑脓肿消失、只剩下癍痕病灶,身体康健的他为神经外科治疗团队献上锦旗,感谢医护人员的精准诊治。
神经外科负责人李深誉表示:脑脓肿是一种严重的颅内感染性疾病,若患者无明显感染症状,起初症状隐匿或卒中样起病,在包膜未形成期可能会误诊。脑脓肿如果不及时治疗,甚至可能会危及患者的生命健康,利用影像学技术快速确立诊断和及早治疗可改善患者预后。
神经外科机器人辅助下脑脓肿穿刺引流术具有微创、精准、高效的优点,减少了患者出血、脓肿破入脑室等风险。自2022年9月起,神经外科治疗团队已经利用机器人成功开展了治疗帕金森病等运动障碍性疾病的DBS 植入手术、三叉神经痛半月节球囊压迫术、肿瘤切除术等,向精准外科治疗迈上了新的台阶!(通讯员 李深誉)

复查影像