同质化高标准技术平移 强助力共夯实学科发展

发布时间:2024-01-31 阅读:

近期,随着中南大学湘雅二医院第四批驻桂专家在湘雅二医院桂林医院全面开展临床工作,多项医疗新技术也随之同质化、高标准地平移至桂林医院。其中,神经外科驻桂专家、桂林医院神经外科执行副主任崔岩也将一系列医疗新技术引入神经外科诊疗实践中,服务八桂大地人民。同时,崔岩还积极开展多项业务学习,组织疑难病例多学科会诊,多措并举促进神经外科学科发展建设更上新台阶。 

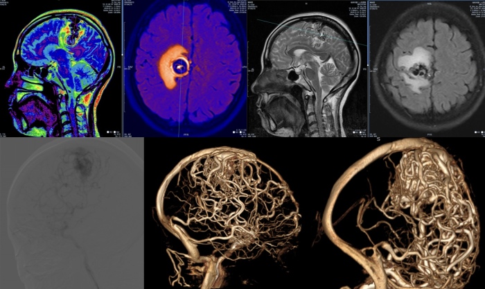
借助MR多模态影像分析处理、DSA AneuFlow血流动力计算,湘雅二医院桂林医院神经外科创新性展开复杂脑血管病多模态一站式术前模拟分析评估,推动了复杂脑血管病术前精准评估与诊疗措施最优解探究,为患者提供更高效、精准的治疗方案。

多模态影像融合及血流动力学构筑分析功能区高级别脑血管畸形

此外,崔岩副主任带领团队重点推进诊疗服务能力建设,立足当前神经外科诊疗实际情况,开展颅内压监测管控下重型、特重型颅脑损伤综合救治体系MDT的救治工作。

ICP颅内压监测技术实施与重型/特重型颅脑损伤多学科MDT综合救治平台建立

针对脑肿瘤亚专业的综合治疗,湘雅二医院桂林医院依托中南大学湘雅二医院神经外科学科优势,创新性借助便捷VR设备虚拟现实影像融合技术进行术前神经导航,实现了精准切除脑肿瘤。

神经外科执行副主任崔岩在便捷VR设备神经导航下精准切除复发矢状窦旁脑膜瘤

在繁忙的临床工作期间,崔岩副主任还定期组织科室人员进行专科业务学习,将临床指南、前沿技术进展与科室目前发展面临的实际问题相结合,有的放矢提升科室人员专科业务能力,促进“医、教、研、护、学”全面发展。

神经外科定期组织业务学习

2024年1月11日至12日,刚刚闭幕的全国卫生健康工作会议上重点部署了九项工作,其中一项便是“医联体、医共体,国家区域医疗中心和国家医学中心项目建设”。中南大学湘雅二医院桂林医院作为国家区域医疗中心建设项目,其稳步推进正是对国家战略部署的积极响应。桂林国家区域医疗中心项目的建成,将推动同质化、高标准医疗技术平移,实现学科跨越式发展,从而更好地为八桂大地人民提供优质的医疗服务与健康保障。

责任编辑:董美玲
相关信息
合作机构
生活网简介 | 网站地图 | 广告价格 | 联系我们 | 法律声明 | 建站服务 | 投稿