中南大学湘雅二医院桂林医院临桂院区首例腔镜手术患者顺利出院

发布时间:2024-06-04来源:中南大学湘雅二医院桂林医院 阅读:

  5月31日,中南大学湘雅二医院桂林医院(国家区域医疗中心)临桂院区综合外科病区首例腔镜患者顺利出院。该患者不仅是临桂院区手术室投入使用后第一例接受微创手术的患者,也是第一例接受四类手术的患者。该例患者的顺利出院,标志着中南大学湘雅二医院桂林医院临桂院区手术室和外科病房已具备承担高、精、尖手术的能力。

  今年57岁的王先生,因咳嗽来到中南大学湘雅二医院桂林医院临桂院区呼吸与危重症医学科就诊。经过胸部CT扫描检查,放射科医师发现王先生右下肺有一个硬币大小的肿块。针对此情况,医院胸外科、呼吸与危重症医学科、放射科组成的肺结节多学科(MDT)诊疗团队对患者的病情进行了深入讨论。

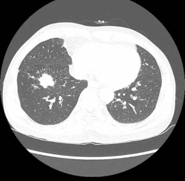
CT结果显示患者右下肺病变

  经检查、分析和评估,专家团队考虑王先生的肺部结节极有可能是原发性肺癌,应当尽早进行外科介入,接受微创手术治疗。因王先生家住临桂区,参与会诊的中南大学湘雅二医院派驻专家、中南大学湘雅二医院桂林医院胸外科执行主任梁恒星副教授建议患者直接在临桂院区新启用的手术室接受手术,免去在叠彩、临桂两区奔波的不便。患者及家属听闻这一消息,欣然接受了梁恒星副教授的建议。

  5月27日,梁恒星副教授主刀为患者进行了胸腔镜下右下肺癌根治术。术后第二天,患者成功拔除引流管,术后第四天顺利出院。术后石蜡切片病理报告确诊王先生的病症为鳞状细胞癌,这是一种来源于支气管上皮的恶性上皮性肿瘤。幸运的是,患者报告显示未见淋巴结转移。

5月31日,术后第4天,患者顺利出院

  中南大学湘雅二医院桂林医院(国家区域医疗中心)胸外科自2022年12月梁恒星副教授进驻桂林后,一直致力于肺癌精准治疗及早期诊疗工作。目前已实现肺小结节术前及术后病理诊断极高相符率,并率先在桂林乃至自治区内开展了4K荧光显影下肺段切除、非插管下肺癌根治术等先进技术,医疗技术力量处于自治区领先水平。中南大学湘雅二医院桂林医院胸外科6月3日正式搬迁至临桂院区后,将继续以国内顶尖水平为标杆,为桂北地区人民的呼吸健康事业构筑一道坚固的防线。

  来源:胸外科


责任编辑:雷渝
相关信息
合作机构
生活网简介 | 网站地图 | 广告价格 | 联系我们 | 法律声明 | 建站服务 | 投稿