【二附院品牌科室】心血管内科二病区:迎难而上,开启“心”通路

发布时间:2024-06-27来源:桂林医学院第二附属医院智慧医院 阅读:

  桂林医学院第二附属医院心血管内科是广西医疗卫生重点(培育)学科,桂林市临床重点专科,医院重点专科,已通过中国胸痛中心和中国房颤中心评审及复审,2023年10月获评成为桂北地区唯一的广西临床重点专科。

  目前科室配备先进的医疗设备如先进的大型C臂X线心血管造影系统及32导心电电生理仪、心律失常射频消融仪、主动脉内气囊反搏仪(IABP)、血管内超声(IVUS)、冠状动脉旋磨仪、有创呼吸机、无创呼吸机、脉波指示剂连续心排血量(PICCO)监测仪、无创血液动力学检测仪、床旁连续血液净化(CRR治疗仪、心肺功能评估仪、床旁超声、多参数遥测心电监护中心系统等先进、高端的医疗仪器设备,积极改善门诊就诊及住院病房条件,为广大患者提供较好的就医体验及诊疗服务。

  2022年10月,心内科业务拓展分为2个病区,病房设施一流,其中心血管内科一病区亚专科发展方向以复杂心律失常射频消融及冠心病诊治为主;心血管内科二病区则着重于高水平的冠脉介入诊疗、心血管重症监护及结构性心脏病的诊治。目前科室拥有1个设备先进的冠心病监护病房(CCU),实际开放床位40张,其中CCU床位10张。

  开通冠状动脉慢性闭塞病变(CTO)手术,在心血管介入领域属于难度最大的复杂冠脉病变,一直是临床心血管介入医生的一大挑战。心血管内科二病区副院长夏中华和科室主任王新云带领的团队冠脉介入诊疗能力凸显,其中冠脉慢性闭塞病变、钙化病变、左主干+前三叉病变、分叉病变及多支血管病变等高难度冠脉病变的成功介入治疗例数在区域内、市内明显领先,许多患者慕名而来。

  精湛技术让患者重获新生

  在桂林医学院第二附属医院心血管内科二病区的病房里,42岁的唐先生脸上终于露出了久违的笑容,他握着主任王新云的手,激动地说:“王主任,真的是太感谢您了........您给了我第二次生命!”

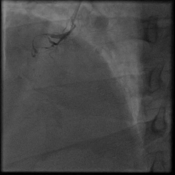
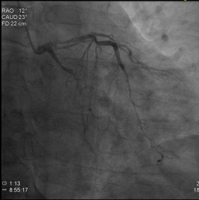
  唐先生因为急性胸痛到桂林市某三甲医院诊断急性心梗,冠脉造影检查提示RCAp(右冠状动脉近段)慢性闭塞,LMd(左主干远端)95%狭窄,血管病变极为严重,支架手术风险极大,该院建议冠脉手术搭桥。

  辗转多个医院仍得不到满意的解决方案,唐先生慕名找到桂林医学院第二附属医院心血管内科二病区副院长夏中华和科室主任王新云带领的团队,因考虑到患者年仅42岁,而搭桥手术的桥血管使用年限不长,手术团队对患者进行了全面的心脏支架植入术前评估。

  为了满足患者及家属的愿望,提高年轻患者的生活质量,延长患者的生命,王新云团队为患者进行了周详的术前准备,因为唐先生右冠闭塞,左侧无保护病变,在充分评估手术风险以及与患者家属充分沟通后,决定分两期为他实施手术。第一次手术----右冠CTO病变的处理,手术过程十份艰难,面对这样复杂的病变,王新云熟练地操作着微导管、穿通导管、导引延伸导管及多种CTO导丝。手术非常顺利,成功地开通了右冠脉的CTO病变,并在血管内超声(IVUS)的指导下顺利植入了支架。有了这支血管的保驾护航,再次为患者实施了第二次手术:左主干+前三叉血管病变处理,两期手术都获得巨大成功,让唐先生重获了新生。

  术后患者回到CCU病房后,症状及各项指标均在好转,科室副主任李静查房时建议:请康复科会诊,与康复师共同商讨并制定康复目标和计划,综合提高呼吸肌耐受力,改善心肺功能。康复师通过床旁呼吸训练、有氧训练、床旁徒手肢体运动训练、耐力训练等康复治疗,促进了患者心肺功能恢复,直至患者满意出院。

  心血管内科二病区

  心内二病区目前能常规熟练开展三级医院心内科所有的心脏介入治疗项目,包括急诊及常规冠状动脉造影、经皮冠状动脉腔内成形术(PTCA)、经皮冠状动脉内支架术( STENT)、冠脉旋磨术及冠脉内血管超声检查、临时及永久性人工心脏起搏器安装术、各种复杂的心律失常射频消融术、成人及小儿先天性心脏病封堵术、无导线心脏起搏器MicraAV术,完成广西首例左束支起搏的AdaptivCRT(左室自适应调整技术),经导管主动脉辨置换术(TAVI)、CRT或ICD植入等。

  今年已经开展冠脉内震波球囊技术及冠脉内激光成形术等比较领先的冠脉介入诊疗技术,胸痛中心介入治疗团队全年24小时全天候待命。2023年实行冠脉介入诊疗约1800人次。

  2024年8月新购进待装机的2台飞利浦心血管专用C臂X线心血管造影系统的投入使用,将为我院的心血管介入诊疗服务能力的进一步提升锦上添花。科室主治医师以上具有心血管亚专科研究方向,学科的心血管介入诊疗已基本实现全方位发展,也是目前桂林地区唯一能独立开展儿童及成人先心封堵介入治疗的优势学科。心律失常射频消融及冠心病介入诊疗水平能力逐渐实现比翼双飞局面,尤其是冠脉介入诊疗能力凸显,其中冠脉慢性闭塞病变、钙化病变、左主干+前三叉病变、分叉病变及多支血管病变等高难度冠脉病变的成功介入治疗例数在区域内、市内明显领先,心血管介入诊治能力及综合实力在桂林地区处于相对领先地位。

  2023年以来,科室陆续派出医护人员外出到广东省医心脏康复中心进修学习心脏康复技术,目前已经取得了心脏康复资质。从3月底开始,科室常规开展心肺运动评估检查项目。

  文、图:游利嫦

责任编辑:雷渝
相关信息
合作机构
生活网简介 | 网站地图 | 广告价格 | 联系我们 | 法律声明 | 建站服务 | 投稿