中南大学湘雅二医院桂林医院血管外科团队微创治疗解决重度椎动脉狭窄

发布时间:2024-11-13来源:中南大学湘雅二医院桂林医院医讯 阅读:

  家住桂林的王大叔近半年来反复出现头晕、头疼,并伴有感觉脚踩棉花、行走不稳的症状,这些症状给他带来了极大的困扰,严重影响了他的日常生活。在家人陪伴下王大叔来到中南大学湘雅二医院桂林医院就诊,经过专业医疗检查,医生发现其双侧椎动脉起始段存在重度狭窄。椎动脉是向脑部供血的重要血管之一,如果它严重狭窄就会导致大脑的血液供应减少(后循环缺血),从而引发上述症状。

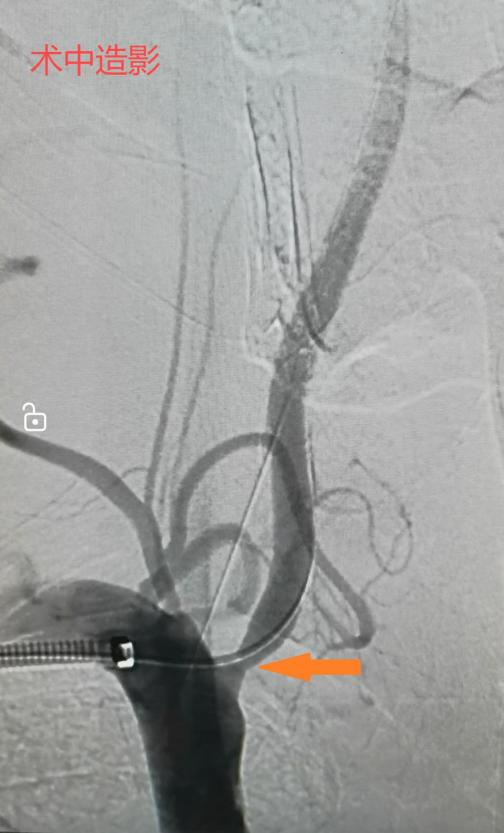
  桂林医院血管外科舒畅教授团队经过仔细评估,决定采用微创腔内治疗,植入椎动脉支架进行治疗。右侧椎动脉微创血管重建手术具有创伤小、恢复快、效果显著等优点,是治疗血管狭窄的常用手段之一。

  手术过程中,血管外科执行主任李鑫使用如头发丝粗细的导丝迅速通过病变段狭窄建立治疗轨道,沿着这根轨道将一枚精细的血管支架精准无误地放置在病变部位的血管,使得之前闭塞了80%的管腔恢复到了正常的血液供应水平。整个手术过程不到半小时,而唯一的“创伤”就是右手肘部的一个小小针眼。术后,王大叔的头晕、头疼及黑矇等症状均得到了明显缓解,生活质量得到了显著提高。

  此外,对于接受腔内支架置入术的患者来说,术后的护理和随访同样重要。患者需要按时服用一段时间的抗凝、抗血小板等药物,以预防血栓形成和血管再狭窄;同时,定期进行复查,以便医生及时了解患者的恢复情况并调整治疗方案。血管支架的植入是很多心血管疾病有效的治疗方案,能够微创、高效地“保命”和降低致残概率,我们大可不必“谈支架色变”。

  椎动脉直径在3.4mm~5.0mm之间,与颈动脉一起参与大脑的供血。当椎动脉出现严重狭窄或闭塞而得不到代偿时,大脑后部就会出现缺血的表现,也就是平时大家常常听到的“大脑供血不足”、“脑缺血”等等词汇。

  常见病因

  1.动脉粥样硬化:血液中脂质在血管壁内沉积,形成斑块,导致血管壁增厚,管腔狭窄。与高脂血症、糖尿病、高血压等危险因素有关。

  2.椎动脉夹层:椎动脉的血管壁内层或中层撕裂,血液进入血管壁内形成夹层,导致管腔狭窄。这种情况在中青年人群中更为常见。

  3.先天性畸形和发育不全:部分患者可能存在先天性的椎动脉狭窄或发育不全,这种发育异常可能导致血流动力学改变,增加动脉粥样硬化的风险。

  4.颈椎病:颈椎骨质增生、椎间盘突出等病变可能压迫椎动脉,导致管腔狭窄。一些不良的生活习惯将会增加椎动脉狭窄的风险,如吸烟、肥胖,高热量、高脂肪、高糖、高盐饮食等。

  椎动脉狭窄或闭塞可能导致哪些危险?

  又会有什么症状?

  1.脑梗塞:即平时所说的“中风”落下各种表现的残疾。

  2.脑供血不足症状:出现头晕、记忆力减退、精神不集中等症状。

  3.影响脑干与小脑功能:出现视力水平下降、思维敏捷度降低,共济失调,如走路不稳、拿东西不稳、猝倒等。

  4.其他并发症:可出现眩晕、恶心、呕吐、耳鸣等症状。

  通讯员:卿红双

责任编辑:雷渝
相关信息
合作机构
生活网简介 | 网站地图 | 广告价格 | 联系我们 | 法律声明 | 建站服务 | 投稿