广西首家丨中南大学湘雅二医院桂林医院利用Excimer Lacer准分子激光系统,成功完成医院首例支架内再闭塞患者手术治疗

发布时间:2025-01-13来源:中南大学湘雅二医院桂林医院 阅读:

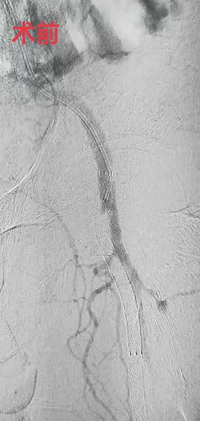
  1月9日,中南大学湘雅二医院桂林医院血管外科团队成功为一名82岁的下肢动脉硬化闭塞症患者实施下肢动脉支架内再闭塞疏通手术,术中采用了广西首台装配的Excimer Lacer准分子激光系统,成功开通患者闭塞的股腘动脉支架,为后续治疗创造了有利条件。该手术标志着血管外科在复杂下肢动脉闭塞治疗领域达到了新的技术高度。

  据悉,患者曾在外院接受过支架植入手术,此次因左小腿皮肤肌肉溃烂、坏死,慕名来到中南大学湘雅二医院桂林医院治疗,医师诊断其为下肢动脉硬化闭塞症。由于患者左下肢动脉支架已完全闭塞,血管再开通的难度极大,但若不及时治疗,将面临高平面的大截肢风险,严重影响其生活质量。

  面对这一复杂病例,血管外科执行主任李鑫及其团队决定采用医院最新引进的Excimer Lacer准分子激光系统及其TurboElite准分子激光导管,进行再闭塞支架的再疏通和减容手术。

  李鑫主任介绍,TurboElite准分子激光导管是目前国际上最先进的血管减容设备之一,能够通过激光能量精准消融血管内的堵塞物质,尤其适用传统方法难以处理的复杂闭塞病变和支架内再闭塞病变。手术耗时不到两个小时,患者长达30厘米的闭塞支架被重新贯通,辅助药物球囊扩张后,闭塞段血流速度恢复正常。

  此次手术的成功,不仅得益于桂林国家区域医疗中心对于高端医疗设备的重点规划和引进,也得益于中南大学湘雅二医院桂林医院血管外科团队对于高端医疗设备和技术的熟练应用。未来,随着准分子激光系统在广西地区的推广应用,更多复杂下肢动脉闭塞患者将从中受益。

  李鑫主任提醒,下肢动脉硬化闭塞症是由于动脉粥样硬化导致的下肢动脉狭窄或闭塞,常见症状包括下肢发凉、麻木、间歇性跛行等,严重时可出现皮肤溃烂、坏死,甚至需要截肢。该病多见于老年人群,尤其是合并糖尿病、高血压、高脂血症等基础疾病的患者。

  预防下肢动脉硬化闭塞症的关键在于控制危险因素,包括戒烟、控制血压、血糖和血脂,保持健康的生活方式。对于已经出现下肢动脉硬化闭塞症的患者,应及早进行干预治疗,避免病情恶化。

  专家介绍

  舒畅

  外科学博士,美国斯坦福大学血管外科中心博士后,一级主任医师、二级教授,博士生(后)导师。中国医学科学院阜外医院血管外科中心主任、血管中心二病区主任。中南大学湘雅二医院血管中心主任,中南大学血管病研究所所长,中南大学湘雅二医院桂林医院血管外科主任,国家重点临床专科(普通外科)及卫健委外周血管介入诊疗培训基地学科带头人,国家心血管疾病临床医学研究中心主要研究者(PI)。

  任美国纽约大学西奈山医学中心(Englewood Hospital of MT Sinai)、耶鲁大学医学院、斯坦福大学医学院等客座教授。

  学术任职包括:国家心血管疾病专业质控中心专家委员会血管外科专家工作组组长;国家心血管疾病专业质控中心专家委员会委员;国家心血管疾病专家委员会血管外科专业委员会主任委员;国家心血管病专家委员会委员;国际血管联盟副主席;外周动脉疾病泛大西洋协作组(TASC)委员;美国血管外科学会(Society of Vascular Surgery,SVS)国际委员;阿根廷心血管外科学会荣誉国际委员;中华医学会外科学分会委员;中华医学会外科分会血管外科学组委员;欧美同学会大血管疾病分会荣誉会长;北京医学会血管外科学分会副主任委员;湖南省血管外科专业委员会荣誉主任委员等。

  获得奖励包括:中华医学科技奖一等奖、北京市科技进步一等奖、湖南省科技进步一等奖、湖南医学科技奖等10余项。个人荣誉包括“中国医师奖”,“全国卫生系统先进个人”,被美国中华医学基金会(CMB)评为“杰出教授”,首届“湘雅名医”,首批全国名医百强榜,荣耀医者“金柳叶刀奖”,“第九届国家卫生健康突出贡献中青年专家”,“国之名医,卓越建树奖”;中国医学科学院协和医学院长聘教授等。

  主要研究方向为大血管疾病的基础与临床研究,培养硕士、博士研究生60余人,在国内外SCI、CSCD、Medline等期刊上发表论文300余篇,其中SCI收录140余篇。主持国家自然科学基金、北京市科技计划重点专项、中国医学科学院重大协同创新工程等多项科研项目。获国际国内发明和实用新型专利14项。受邀在全国20余个省(区、市)200多家医院进行会诊及手术,曾赴德国、意大利、希腊、葡萄牙、土耳其、格鲁吉亚、白俄罗斯、乌克兰、俄罗斯等18个国家进行手术演示170余台。

  作为专场主席、点评专家,主持国际性会议20余次,赴美国、澳大利亚、意大利、法国、德国、英国、比利时等国家讲学70余场。2009-2011年连续三年受邀在美国外科学院年会以及欧洲血管外科年会做大会专题报告,2011-2019年连续在美国Veith国际血管论坛做大会报告,连续六年在CICE做大会报告及手术直播演示,连续4年在美国C3会议手术直播演示。作为三位共同主席之一,2013年在伦敦主持英国皇家医学院血管峰会并开辟中西方对话专场。为欧洲、北美洲、南美洲、东南亚等16个国家培训专科医师190余人次。

  李鑫

  外科学博士,血管外科主任医师,硕士研究生导师,中南大学血管病研究所副所长;美国耶鲁大学博士后;英国剑桥大学访问学者;德国莱比锡大学访问学者。

  国际血管联盟中国分会青年委员会常委;国家心血管病中心血管外科专业委员会下肢动脉学组委员;国家心血管病中心血管外科专业委员会青年委员;中国医师协会血管外科分委会下肢学组委员;中国医师协会介入分会大血管分委会委员;中国医师协会腔内血管学专业委员会糖尿病足专家委员会委员;中国医疗保健国际交流促进会糖尿病足病分会青年委员;中国研究型医院学会血管病专业委员会委员;湖南省医学会血管外科专业委员会副主任委员。

  共主持国家自然科学基金项目2项,参与国家自然科学基金3项,主持湖南省杰出青年基金项目1项,参与省级科研项目4项,主持中南大学前沿交叉课题1项;发表和参与发表英文和中文学术论文122篇(第一和通讯作者43篇)。获得国家发明专利3项,实用新型专利9项。

  姚松良

  外科学硕士,副主任医师,副教授。2005年毕业于桂林医学院,后获得桂林医学院外科学专业硕士学位,亚太血管学术联盟(APA)广西分会委员,广西中西医慢创协会委员,从事相关临床外科工作17年余。曾先后在中山医科大学一附院、广西医科大学微创中心、中南大学湘雅二医院血管外科进修学习,主持自治区科研课题一项,在省级、国家级专业期刊发表学术论文数篇。

  擅长:血管外科各类疾病的诊断和介入、开放手术治疗,包括主动脉夹层、主动脉瘤、假性血管瘤、急性动脉血栓、下肢动脉硬化闭塞症、血栓闭塞性脉管炎、下肢深静脉血栓、先天性皮肤血管瘤、大隐静脉曲张的微创治疗等。

  通讯员:卿红双


责任编辑:雷渝
相关信息
合作机构
生活网简介 | 网站地图 | 广告价格 | 联系我们 | 法律声明 | 建站服务 | 投稿