骤发肩剧痛竟是因为它?二附院帮你关节里挤“牙膏”

发布时间:2025-08-15来源:桂林医科大学第二附属医院 阅读:

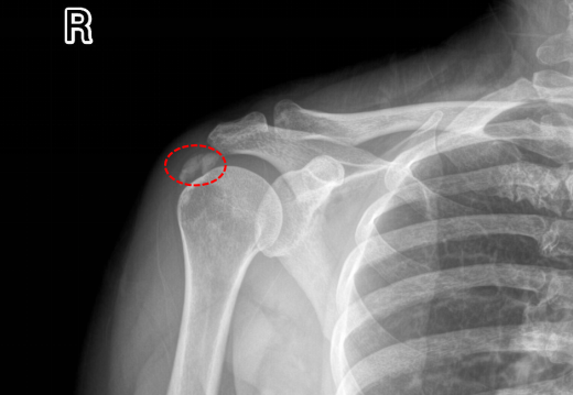
  近日,年近六旬的黄阿姨无明显诱因下骤发右侧肩痛两天,夜间痛到无法入睡,止痛药仅可缓解三四小时,又再发持续剧痛,而且伴有右肩活动障碍,稍微活动一下右肩,愈加钻心疼痛来袭。饱受折磨的黄阿姨到桂林医科大学第二附属医院运动医学科门诊就诊,副主任医师谢小军一听病史,初步怀疑钙化性肌腱炎,通过初步拍X线,果真病因是它。

  这种疾病名为肩关节钙化性肌腱炎,肩关节钙化性肌腱炎是肩部肌腱内钙盐异常沉积引发的炎症性疾病,常见于40-50岁人群,以肩部剧烈疼痛、活动受限为主要表现。钙化性肌腱炎是肌腱组织内出现羟基磷灰石晶体沉积的病理状态,肩袖肌腱(尤其是冈上肌腱)最常受累。钙盐沉积可能与肌腱局部缺氧、代谢异常或退行性变有关,导致炎症反应和机械性刺激,引发疼痛和活动障碍。急性期疼痛剧烈,夜间加重,可能放射至上臂;抬手、外展或旋转动作困难,严重时影响穿衣、梳头等日常活动。肩峰下或肱骨大结节处压痛,部分患者伴局部肿胀。若钙化灶>1.5cm,往往需关节镜手术治疗。

  门诊医生立即为黄阿姨办理了住院,并于当天晚上完成急诊手术,通过3个0.5cm小切口在关节镜下解决了病因。镜下可见冈上肌腱内冒出牙膏状钙化沉积物,彻底清理后缝合肩袖破口。

  术后当晚黄阿姨睡了一个好觉,术后右肩再无疼痛,对我们的治疗非常满意。黄阿姨打趣说术前当天戴着痛苦面具住院了,术后2天喜笑颜开出院了。

  骨科二病区简介

  运动医学科、关节外科、创伤骨科、手足踝显微外科、骨科二病区等医疗队伍人才梯队完备,技术力量雄厚。现有主任医师(教授)1人,副主任医师(副教授)5人,主治医师3人,住院医师3人。其中硕士研究生导师3人;在读博士2人,硕士研究生5人。承担各级科研课题7余项,广西区课题2项,发表论文核心期刊10余篇。国家实用专利3项。

  专科诊疗范围

  1、创伤骨科:四肢复杂骨折、严重开放性骨折、骨盆骨折的内固定、外固定和微创治疗;四肢畸形矫形;骨缺损骨搬运治疗、骨折不愈合的治疗、骨移植;骨搬运技术治疗下肢溃疡等。与国内发达地区同步,在区内处于领先地位。

  2、人工关节置换:对股骨颈骨折、膝关节骨折和退变等进行人工髋、膝关节置换术;肩、肘、腕关节置换术;桡骨小头、掌指关节置换术等;各种复杂关节翻修手术。

  3、关节镜微创治疗:膝、髋、踝、肩、肘、腕关节镜;半月板修复;交叉韧带重建;肩周炎、肩袖损伤修复;滑膜软骨瘤清除等。

  4、显微、手外科技术:开展断指(肢)再植、拇指再造、手部功能重建与修复。四肢皮肤软组织缺损的游离皮瓣、带蒂皮瓣修复、骨缺损等多种高难度的显微外科手术。

  5、神经损伤:四肢周围神经损伤修复,臂丛神经损伤治疗、神经移位、神经移植手术及肌肉转位,肩、肘关节功能重建手术。

  专家介绍

  辛林伟

  教授、科室主任、主任医师

  在读医学博士,硕士研究生导师

  专业特长:中华医学会广西显微外科学分会委员,广西骨科学会桂林分会常委。从事骨外科专业20余年,精通肩、肘、腕、髋、膝、踝关节镜微创治疗关节疾病,复杂髋膝关节置换;骨搬运技术治疗四肢骨干长段缺损、糖尿病足;周围神经、肌腱、血管损伤的修复;四肢骨折、关节脱位的复位与固定;各种带蒂皮瓣转移修复缺损。

  出诊时间:周一上午  周三上午

  韩健

  副主任、科室副主任、副主任医师

  在读医学博士、硕士研究生导师

  专业特长:中华医学会广西显微外科学分会委员,广西骨科学会桂林分会委员。对创伤骨科、手外科、足踝外科常见病多发病熟练掌握,擅长断指再植、断肢再植、手指再造、创伤性四肢骨折、复杂关节内骨折、四肢软组织缺损皮瓣修复及足踝部畸形矫正、慢性足踝部运动损伤的修复。

  出诊时间:周一下午、周五上午

  官昊月

  副主任医师、医学硕士

  专业特长:1、常见运动损伤:膝、肩、踝、肘等关节疾病的诊治与康复;2、擅长关节镜微创手术:前交叉韧带重建、后交叉韧带重建、半月板修复、关节韧带及软骨损伤修复、肩袖损伤修复、肩峰下撞击综合症清理、关节骨性关节炎的微创治疗等。

  出诊时间:周二上午、周日下午

  李林武

  副主任医师、研究生

  专业特长:擅长创伤骨科急性创伤救治,四肢骨折微创治疗,运动损伤肩、髋、膝、踝关节镜微创技术治疗及断指(肢)再植及难愈性创面修复。

  出诊时间:周一下午、周三上午

  谢小军

  副主任医师

  专业特长:精通腕关节及前臂领域的创伤、退变治疗,擅长肩、腕、膝关节疾病的关节镜下微创治疗,擅长拇指再造、断指再植及游离皮瓣等显微技术,熟练掌握四肢骨折的一期治疗、骨折畸形的矫形。

  出诊时间:周三下午、周四上午

  文、图:谢小军、辛林伟

  部分图片来源于网络


责任编辑:雷渝
相关信息
合作机构
生活网简介 | 网站地图 | 广告价格 | 联系我们 | 法律声明 | 建站服务 | 投稿