健康首页
医院
医院
医生
良方
新闻
健康搜索
推荐:
中医
包皮手术
口腔
感冒
男科
蜜桃丰胸
隆鼻
首页
医院
医生
疾病
视频
专访
健康资讯
医院新闻
民间良方
养生保健
健康问答
男科
妇科
产科
儿科
五官
肝胆
呼吸
消化
内分泌
心血管
胃肠
神经
肛肠
骨科
您现在的位置:
首页
>
医院新闻
>
桂林医科大学第二附属医院
>
【协作组解病忧】应急预案护航,二附院救治急性冠脉综合征游客
64岁外省游客郭先生在桂林旅游期间突发反复胸闷,确诊为急性冠脉综合征伴右冠95%严重狭窄,病情危重。因无家属陪同,医院启动急诊救治应急预案:总值班魏虹核实身份后启用电子授权书,科室通过电话与家属充分沟通并获语音同意,医生林创标、张羽中等迅速完成支架植入手术(22:04–22:23),全程高效规范。该案例彰显二附院胸痛中心在制度创新、技术应用与人文关怀方面的综合救治能力。
2026-04-28
楼道养鸡竟成“元凶”?八旬老两口高烧不退住进ICU,专家提醒→
八旬刘爷爷与老伴因在楼道饲养活鸡,感染鹦鹉热衣原体,双双发展为重症肺炎及ARDS,先后入住ICU:老奶奶病情危重,需ECMO+呼吸机支持,住院40天;老爷爷病情较轻,仅用呼吸机,住院23天。tNGS检测确诊鹦鹉热衣原体合并真菌/球菌感染。专家强调该病经禽类气溶胶传播,隐性带菌风险高,呼吁加强禽类饲养防护、及时就医并主动告知禽类接触史。
2026-04-23
【协作组解病忧】80岁老人三程放疗闯过“生死关”
本文报道桂林二附院成功为80岁廖奶奶实施胸部三程放疗的罕见案例:她30年前患乳腺癌、2025年初确诊食管上段癌并完成首程放疗,年初又因食管下段复发接受第三程精准放疗。团队依托MIM剂量叠加系统、DIBH深吸气屏气技术、先进放疗设备及严格质控体系,在充分保护心肺前提下实现肿瘤完全缓解,显著改善吞咽与呼吸症状,打破‘同一部位两程放疗即达安全极限’的传统认知,彰显精准放疗在高龄复发肿瘤患者中的疗效与安全性。
2026-04-22
【协作组解病忧】一不留神就尿裤子?二附院这样精准诊断治疗
本文报道两例女性尿失禁误诊案例:李女士被长期误诊为压力性尿失禁,经SVUDS及MRI确诊为神经源性膀胱(源于腰髓占位);王女士则确诊为尿道狭窄所致充盈性尿失禁。文章强调女性下尿路症状病因复杂,SVUDS技术可精准识别膀胱感觉、顺应性、梗阻及神经功能异常,避免经验性误诊。我院功能泌尿团队在SVUDS命名、推广及临床研究方面居国内前列,已成为区域难治性下尿路疾病诊疗与研究中心。
2026-04-21
【协作组解病忧】术后1个月减重30斤!重度肥胖患者代谢指标全面逆转
本文报道一位240斤重度肥胖合并代谢综合征(高血压、高血脂、糖尿病、高尿酸、睡眠呼吸暂停)的患者,经陈伟主任团队实施袖状胃加双通道手术,术后1个月减重30斤,血糖、血压、血脂、血尿酸等指标全面恢复正常,睡眠呼吸暂停显著改善。文章强调肥胖是代谢疾病的根源,减重5%–19%可显著缓解甚至逆转相关疾病,呼吁BMI≥27.5且伴代谢问题者及时科学干预。
2026-04-21
惊险!6岁男童误吞磁铁玩具,二附院医生内镜下巧取化解危机
本文报道一名6岁男童误吞乒乓球拍样磁铁玩具致腹痛,经胃镜下急诊取出后次日康复出院。文章分析儿童消化道异物高发原因(口欲期、看护疏忽、模仿行为等),强调预防关键:高危物品收纳、玩具筛选、进餐习惯及安全教育;并明确误吞后处理原则——牢记“四要四不要”,严禁催吐、喂食或等待自行排出,须立即就医。文末呼吁节日期间加强监护,筑牢儿童健康安全屏障。
2026-04-21
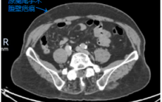
【协作组解病忧】 从开胸开腹到微创“开窗”!二附院微创技术为患者“拆雷”
本文报道桂林医科大学第二附属医院孙玉桂团队成功为一名69岁复杂胸腹主动脉夹层动脉瘤患者实施“胸腹主动脉覆膜支架腔内隔绝+腹主动脉四分支全腔内重建术”(即“四开窗”微创介入术)。该术式通过右腋动脉与股动脉双通路,精准重建腹腔干、肠系膜上及双肾动脉四支内脏分支,完全隔绝瘤体,无内漏,避免传统胸腹联合开放手术。患者术后康复出院。文章同时科普了主动脉夹层的高危性、病理机制及早期识别要点。
2026-04-15
【协作组解病忧】“头位+臀位”双胎宝妈成功顺产!二附院产科硬核实力护航
本文以桂林医科大学第二附属医院成功实施‘一头一臀’双胎阴道分娩案例为切入点,破除‘一头一臀=必须剖宫产’的误区,系统阐释双胎自然分娩的四大评估关卡:胎位(强调头-臀位可试产,而臀-头位属禁忌)、孕周与胎儿体重、母体及胎儿健康状况、医疗资源支持。强调在专业团队、精准评估与医患信任协同下,高危双胎顺产具有可行性与安全性,体现现代产科技术与人文关怀的融合。
2026-04-15
【协作组解病忧】不要以为只是胖?可能疾病已经悄然找上你
42岁李女士体重190斤、四肢细肚子大,属典型腹型肥胖,自以为仅打呼、气喘,体检却发现随机血糖18mmol/L、血压210mmHg,确诊重度睡眠呼吸暂停、2型糖尿病、高血压、高尿酸、高脂血症等肥胖相关代谢病。经桂林医科大学二附院肥胖与代谢外科协作组MDT评估,行精准微创袖状胃切除术,围术期予无创高流量氧疗,术后康复出院。文末强调腹型肥胖是严重疾病,可引发多种代谢并发症,呼吁早识别、早干预。
2026-04-14
从“大白肺”到自由呼吸:一位32岁危重孕产妇的生死逆转
本文报道一名32岁妊娠19周女性因ANCA相关性血管炎导致暴发性肺水肿(肺水34ml/kg)、‘大白肺’及多器官衰竭,氧合指数<100mmHg,濒临死亡。ICU团队依托PICCO精准监测肺水动态,实施脱水、双线抗感染(快速锁定并靶向治疗耶氏肺孢子菌)及免疫调控(血浆置换+丙球冲击)三管齐下的‘排水战’,72小时内显著改善肺水与氧合,98小时拔管,7天转出ICU。案例凸显精准监护、多学科协作与重症医学时代‘克制而有力’的救治理念。
2026-04-13
祝贺!桂林医科大学第二附属医院正式获批GIOC成员单位
桂林医科大学第二附属医院肿瘤内科正式获批成为中国消化道肿瘤临床和转化研究协作组(GIOC)成员单位,标志其在消化道肿瘤规范化、精准化诊疗能力获国家级认可。科室作为广西重点培育学科,已开展90余项注册临床研究,构建涵盖多模态治疗与MDT的综合诊疗体系。加入GIOC将助力其融入全国学术网络,提升疑难重症诊治水平,更好服务桂北及周边患者。
2026-04-13
15岁少年脚趾缝冒“黑痣”,医生提醒:千万别硬拔!
本文以15岁男孩脚趾缝发现活动性‘小黑点’(实为蜱虫)的真实案例切入,详细科普蜱虫生物学特性、叮咬风险及科学处置方法。强调蜱虫非昆虫而是蛛形纲动物,4–10月高发,叮咬隐匿;错误处理(硬拔、火烧、涂油)可致病原体大量反流,诱发重症;正确做法是用尖头镊子垂直夹住口器根部缓慢拔出,并持续14天监测发热、乏力、游走性红斑等预警症状。文末提供穿长袖、喷驱避剂、走大路、勤检查等5项实用预防建议。
2026-04-13
七旬高危患者命悬一线!二附院救治脑动脉瘤破裂合并重症心衰老人
72岁黄奶奶因右侧大脑前动脉瘤破裂致蛛网膜下腔出血,合并左侧硬膜下血肿及严重心脏瓣膜病、慢性心力衰竭,病情极危重。桂林医科大学第二附属医院神经外科联合心血管内科、麻醉科开展多学科协作,成功实施一次性开颅动脉瘤夹闭+血肿清除术,并通过24小时精细化神经重症监护,有效维护心功能、防控并发症,最终实现意识恢复、功能改善并顺利出院,彰显高危合并症下急危神经重症的综合救治能力。
2026-04-13
桂林医科大学菁华志愿服务团在桂林市少年宫开展“三月三”主题活动
2026年4月11日,桂林医科大学菁华志愿服务团在桂林市少年宫举办“壮乡吟雅韵,民俗润童心”三月三主题活动,吸引约1600名青少年及家长参与。活动通过少数民族舞蹈、诗词诵读、竹竿舞体验、绣球投掷与手作、民族服饰填色等沉浸式互动,生动传播壮乡民俗与中华文化,增强青少年对中华优秀传统文化的认同感与自豪感。该活动系广西共青团“青伴童行”公益项目支持项目。
2026-04-13
【协作组解病忧】高龄不设限,二附院救治90岁下肢动脉闭塞患者
桂林医科大学第二附属医院胸心血管外科团队成功为90岁高龄林奶奶实施微创介入手术,开通闭塞的股动脉及膝下血管,显著改善下肢血运、消除剧痛、恢复肢体温度。手术创伤小、恢复快,术后当天即见成效,次日可床上活动,实现高龄患者的高质量康复,彰显‘高龄不设限、仁心通血管’的诊疗理念。
2026-04-09
【协作组科普】突破减重平台期的秘密,代谢修复与科学塑形指南
本文系统解析减重平台期的生理本质——非失败而是机体代谢适应(如适应性产热、活动减少)导致的能量平衡重建。强调摒弃‘唯体重论’,转而关注腰围、体脂率、肌肉量等体成分指标;提出循证突破策略:阶梯式营养干预(1.2–1.6g/kg高蛋白、优化宏量配比)、运动组合(抗阻训练+HIIT)、及睡眠与行为管理(7–8小时睡眠、CBT应对焦虑),倡导与身体协作的科学减重观。
2026-04-09
注意,蛇出没!二附院接诊蛇咬伤患者近十例
本文针对四月桂林气温回升、毒蛇活跃期来临的实际情况,介绍本地六种常见毒蛇(银环蛇、竹叶青、五步蛇、烙铁头、眼镜蛇、眼镜王蛇)的形态特征与毒性类型,并强调科学急救原则(‘三要三不要’:要冷静制动、快速识别、立即送医;不要切开/冰敷/结扎、不要徒手捕蛇、不要饮酒),同时提出避开高危环境、穿戴防护、打草惊蛇等户外预防措施。桂林医学院二附院作为桂北蛇伤救治中心,提供专业血清与规范化救治保障。
2026-04-08
清明扫墓踏青,小心“蛇出没”!桂北蛇伤救治中心发布防治提醒→
清明将至,气温回升致毒蛇(如竹叶青、银环蛇、眼镜蛇、五步蛇)活跃,踏青扫墓被咬风险上升。桂林医科大学第二附属医院作为桂北蛇伤救治中心,启用广西首家动物致伤规范化救治病房,发布科学防治指南:强调穿长袖高帮鞋、避蛇时段、驱蛇技巧等预防;通过牙痕特征区分毒/无毒蛇;明确‘减缓毒素吸收、尽快送医’原则,严守急救‘八不要’;提供24小时专业救治与多类血清支持,呼吁市民切勿信偏方、早识别早求医。
2026-04-03
【协作组解病忧】“你们不是一个人在战斗,而是一个团队在守护!”
本文报道桂林医科大学第二附属医院BTTCG开展的一次典型多学科诊疗(MDT)实践:针对一名60岁Ⅳ期右乳癌合并甲状腺结节的跨省患者,十余个科室专家面对面联合研讨,邀请患者全程参与,兼顾医学精准性与人文关怀;最终确定穿刺诊断、基因检测及分层治疗策略(含靶向药选择与临床试验路径),彰显‘协作第一、服务第一、疗效第一’的整合肿瘤防治理念。
2026-04-03
【协作组科普】科学拍嗝,守护新生 | 二附院新生儿科开展“宝爸宝妈育儿小课堂”
桂林医学院二附院新生儿科举办‘宝爸宝妈育儿小课堂’,聚焦‘科学拍嗝,守护新生’主题。段文凤副主任护师以通俗语言讲解新生儿胃部特点及胀气、吐奶成因,强调拍嗝的黄金时机(喂奶中烦躁或喂奶后)与安全手法(如肩上/腿上拍嗝、空心掌由下往上轻叩),并现场示范指导,帮助新手父母掌握实操技能,提升科学育儿能力。
2026-04-03
数据加载中...
合作机构
桂林医科大学第二附属医院
桂林医学院第二附属医院
广西壮族自治区南溪山医院
桂林市第二人民医院
桂林市人民医院
桂林市中医医院
桂林市中西医结合医院
桂林爱尔眼科医院
桂林男健医院
桂林叠彩妇科医院
生活网简介
|
网站地图
|
联系我们
|
法律声明
|
建站服务
|
投稿