一站式解决“心”难题!湘雅二医院桂林医院成功为生命通道“换阀修路”

发布时间:2025-09-28来源:中南大学湘雅二医院桂林医院 阅读:

  74岁的何爷爷(化名),心脏两大“阀门”严重病变,给心脏供血的“命脉”也严重堵塞,生命岌岌可危。近日,中南大学湘雅二医院桂林医院心血管外科团队迎难而上,通过一场长达11小时的超高难度手术,成功为其实施了“主动脉瓣置换+二尖瓣置换+冠状动脉旁路移植术”(简称“双瓣置换+冠脉搭桥术”),一举扫除多重致命威胁,为高龄复杂心脏病患者点燃了“心”希望。

  病情复杂

  高龄患者心脏“阀门”“命脉”双重告急

  何爷爷早前就在当地医院被诊断出主动脉狭窄,但未予重视。近一年来,一次肺炎诱发了心力衰竭,导致何爷爷活动后胸闷、气促的症状加剧且频繁发作,日常生活受到严重影响。入院后,全面检查提示了患者的病情凶险程度。心脏彩超显示,主动脉瓣和二尖瓣这两个核心“阀门”出现严重病变,致使心脏功能急剧恶化;冠脉造影结果更为棘手,不仅存在两支血管病变伴钙化,最狭窄处甚至达到了75%。如此复杂危重的状况,使得手术成为唯一有效的治疗方案,但也意味着极高的风险,这对医疗团队的技术与协作提出了空前挑战。

术前心脏彩超提示:心功能减低.jpg

术前心脏彩超显示患者左心功能显著降低

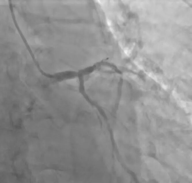
术前冠脉造影提示:.jpg

患者术前冠脉造影提示双支血管病变合并钙化

  协同攻坚

  多学科团队定制“生命方案”

  面对这一棘手的病例,医院心血管外科执行主任张鸿立即牵头,组织麻醉科、手术室等多学科专家进行紧急会诊。

  多学科团队围绕患者的病情展开了深入细致的讨论,经过全面评估与审慎权衡,最终为他量身定制了一套详尽的手术方案及应急预案。这套方案不仅确保了治疗的科学性,更将患者安全置于首位,为即将到来的高难度手术奠定了坚实基础。

  精准施治

  11小时鏖战打通“生命通道”

  手术当日,麻醉与体外循环团队全程严阵护航。心血管外科主任顾问周新民教授领衔,携张鸿主任、张致远博士组成核心手术组,正式开启这场与时间竞速的生命保卫战。

  术中,团队先顺利建立体外循环,待心脏停跳后,主刀医生凝神聚力,精准剥离并切除病变瓣膜,成功植入两枚生物瓣膜,为心脏“阀门”换上全新“核心部件”。紧接着,团队又精准分离患者自体血管,凭精湛医技娴熟完成冠状动脉旁路移植术,为缺血心肌重新打通了“生命供血线”。

周新民教授.jpg

张鸿教授.jpg

周新民教授(左)与张鸿主任(右)正全神贯注地进行精细操作

  历经11个小时的艰苦奋战,当体外循环机被成功撤离,患者心脏重新开始有力搏动——这一刻,宣告了这场生命保卫战取得关键胜利。

  顺利康复

  先进技术护航患者“新生”

  术后,患者被送入心血管外科重症监护室接受24小时严密监护和精准治疗。在床旁PICCO(脉搏指示连续心输出量监测)持续监测和IABP(主动脉内球囊反搏)的辅助下,医护人员时刻关注着患者的生命体征。经过8天的精心守护,患者平稳度过了术后最危险的阶段,生命体征趋于稳定,各项指标也逐渐恢复正常。

术后心外重症监护室.jpg

术后,患者在心外重症监护室内,接受24小时严密监护

  转入普通病房后,在医护人员的耐心指导与鼓励下,何爷爷每天都坚持进行心脏康复训练。持续的锻炼让他逐渐找回活力,心功能得到显著改善,胸闷、气促等症状明显减轻,整个人的精神状态也焕然一新,脸上浮现出久违的笑容。很快,何爷爷便能独立下床活动,最终顺利康复出院。

术后恢复良好.jpg

转入普通病房后,患者在医护人员指导下进行康复训练

  此次“双瓣置换+冠脉搭桥”一站式手术的成功实施,对于桂林及周边地区的复杂老年心脏病患者而言,无疑是一颗“定心丸”。它标志着此类高难度心脏手术已能在本地得到高水平解决,有效避免了患者辗转外地求医的奔波劳顿与经济负担,真正实现了在家门口重获“心”生。

  科室风采

  中南大学湘雅二医院桂林医院心血管外科,作为湘雅二医院心血管外科的重要拓展分支(即湘雅二医院心血管外科六病区),于2024年7月7日正式挂牌成立。

  该科室由湘雅二医院心血管外科主任医师周新民教授领衔,依托湘雅二医院的强大医疗资源与技术实力,中南大学湘雅二医院桂林医院心血管外科迅速实现了技术与管理上的同质化。

  科室现有医、护、技团队30余人,配备了30张普通病床和8张重症监护室床位,同时还拥有两间先进的百级层流心血管专科手术室和一间杂交手术室,为复杂心脏手术提供安全、高效的手术环境。

  此外,科室还设有独立的心脏彩超室,并配备了全球领先的体外循环机、彩超机、主动脉内球囊反搏仪(IABP)、体外膜肺氧合支持系统(ECMO)等先进医疗设备,为患者的精准诊断和治疗提供了有力保障。

图片14.png

图片15.png

图片16.png

图片17.png

  科室地址:中南大学湘雅二医院桂林医院临桂院区住院楼(二)5楼(桂林市临桂区沙塘路8号)

  联系电话:0773-8102111

  专家介绍

图片18.png

  周新民

  湘雅名医 教授 博导

  擅长:A型急性主动脉夹层的综合手术治疗、冠脉搭桥、成人瓣膜疾病的外科治疗、心肺移植、心肺脑复苏术等成人心脏病的外科治疗。

  简介:一级主任医师,博士生导师。曾任国家重点学科与国家重点专科中南大学湘雅二医院心血管外科主任、成人心血管外科主任、湖南省心血管疾病研究所所长、中国医师协会心血管外科医师分会副会长,湖南省首例心肺联合移植手术、亚洲心肺联合移植术后患者生存时间最长记录主刀医师。曾赴德国心脏中心研修学习心脏辅助装置、心脏、心肺联合移植、心脏瓣膜外科;赴英国牛津大学心脏中心研修,主攻主动脉疾病的外科治疗,冠脉外科及心衰外科治疗。主持和参与国家、省部级及国际合作课题多项,获国家科学技术进步二等奖1项。

张鸿.jpg

  张鸿

  副主任医师 博士 硕士生导师

  擅长:先心病、心脏大血管疾病、心脏瓣膜病、冠心病外科手术治疗,胎儿先心病产前咨询。

  简介:2012年毕业于中南大学湘雅医学院首届“临床医学八年制”。2016年以国家公派访问学者身份赴全美排名第一的梅奥医学中心从事心肌病相关博士后研究两年,并同期在梅奥医学中心心血管外科临床观察学习。

  主持及参与国家自然科学基金项目三项,湖南省自然科学基金项目一项,在心脏病遗传学、心肌病心衰的中西医结合治疗方面有一定研究,在国内外权威刊物发表学术论文7篇,累计影响因子IF=33.72。

  中南大学教师教学发展师,长期从事临床及课堂教学工作。曾获第七届全国高校青年教师教学竞赛医科组二等奖,2022年获“湖南省普通高校教师课堂教学竞赛一等奖”和“课程思政专项奖”,并被授予“湖南省普通高校教学能手称号”。

张致远.jpg

  张致远

  主治医师 医学博士

  擅长:冠心病、主动脉疾病、瓣膜性心脏病、先天性心脏病等疾病的诊断和外科治疗。

  简介:毕业于中南大学湘雅医学院。长期从事心血管疾病的外科诊疗与研究工作,具有丰富的临床经验。曾在美国加州大学学习,主持国家级课题1项,省级课题1项,发表多篇论文。

  通讯员:王丽萍 刘露露


责任编辑:雷渝
相关信息
合作机构
生活网简介 | 网站地图 | 广告价格 | 联系我们 | 法律声明 | 建站服务 | 投稿