惊险!65岁患者颅内藏巨大脑膜瘤,我院神经外科精准全切,术后3天下床

发布时间:2026-03-20来源:桂林医科大学第二附属医院 阅读:

  65岁的蒋女士(化名),因颅内占位病变4年余,突发左侧肢体乏力1天紧急入住桂林医科大学第二附属医院。入院时她神志清楚,但左侧肢体偏瘫,右侧肌力正常,生活行动受到严重限制。头颅磁共振检查提示:右侧额顶部巨大脑膜瘤,肿瘤体积大、占位效应明显,正是导致肢体偏瘫的“元凶”。

  术前磁共振清晰显示,右侧额顶部巨大脑膜瘤对脑组织形成明显压迫。

  接诊后,我院神经外科团队高度重视,迅速完善相关检查,全面评估肿瘤位置、血供及与周围神经、血管的毗邻关系。针对患者基础情况,团队细致调整血糖、优化术前准备,制定个体化手术方案,力争在最大限度保护神经功能的前提下,实现肿瘤完整切除。

  在全麻下,由经验丰富的手术团队精细操作,凭借娴熟的显微神经外科技术,精准分离、完整切除巨大脑膜瘤,手术过程顺利。术后,医护团队全程严密监护、精心康复指导,患者恢复超出预期:左侧肢体肌力较术前显著改善,术后3天便可下床活动,术后5天可在扶持下独立行走,术后1周顺利康复出院。

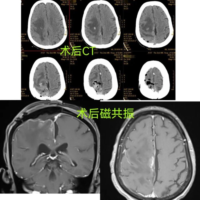
  术后CT及磁共振复查结果显示,肿瘤已完全切除。

  巨大脑膜瘤全切手术,是对神经外科手术精度、团队协作与围手术期管理的综合考验。我院神经外科团队始终坚持精准诊疗、功能保护、快速康复理念,以精湛技术为颅脑肿瘤、脑血管病、颅脑损伤等患者保驾护航,用专业与责任守护每一位患者的大脑健康与生活尊严。

  患者康复出院时,特意送来锦旗,对神经外科团队的精湛医术和悉心照料表示衷心感谢。

脑膜瘤小科普

  脑膜瘤是常见的颅内良性肿瘤,附着在脑膜上,并非脑内肿瘤。好发于45-60岁女性。症状取决于位置,常表现为头痛、肢体无力、癫痫及视力改变。

  通过CT与MRI可确诊。首选手术全切,预后良好;残留或复发者可采用放疗。良性患者术后多可恢复正常生活,无需过度恐慌。

  温馨提示

  如您或家人出现头痛、肢体无力、视力下降等症状,应及时就医排查,早发现、早干预是颅脑疾病诊疗的关键。

  专家介绍

  李深誉

  科室负责人

  主任医师  教授

  在读博士

图片

桂林市医学会神经外科学分会副主任委员

  广西神经调控联盟常务理事

  广西医师协会第二届胶质瘤委员会委员

  擅长各型颅脑损伤的外科手术及重症监护治疗,复杂颅脑颅底肿瘤的显微及神经内镜手术,脊髓肿瘤的显微手术治疗,脑干、丘脑及脑室出血的微创手术治疗,开颅动脉瘤夹闭术。脑深部电刺激术(DBS)治疗帕金森病、植物人促醒、梅杰综合征、特发性震颤、肌张力障碍等运动障碍性疾病,脊髓电刺激术(SCS)治疗慢性意识障碍(昏迷促醒)、脑外伤或脑卒中后肢体痉挛瘫,三叉神经痛及面肌痉挛的微血管减压术,偏头痛的外科手术治疗,可逆性痴呆正常压力性脑积水的评估及外科手术,参与国家级课题多项,主持厅级科研课题2项,发表论文十余篇,其中SCI论文3篇。

  文、图:韦开亮


责任编辑:雷渝
相关信息
合作机构
生活网简介 | 网站地图 | 广告价格 | 联系我们 | 法律声明 | 建站服务 | 投稿