精准“狙击”肿瘤,二附院SBRT为胆管癌肺转移患者带来新生希望

发布时间:2026-03-20来源:桂林医科大学第二附属医院 阅读:

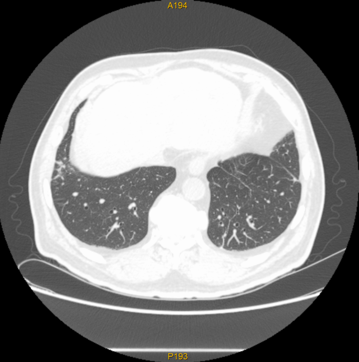
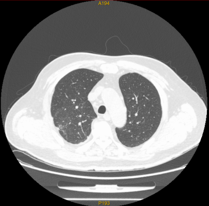
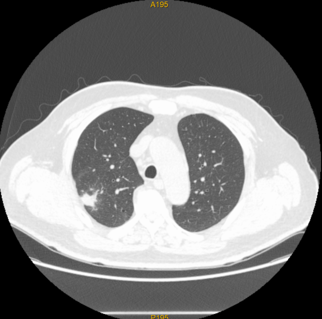
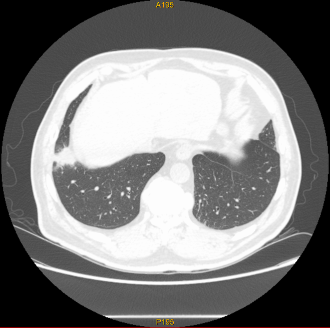
  近日,我院肿瘤放射治疗科应用体部立体定向放疗(SBRT)技术,为一名胆管癌肺转移患者实施了精准放射治疗。通过制定规范的放射治疗计划,肺部两个转移病灶在接受SBRT治疗后基本消失,复查影像显示肿瘤已得到良好控制,彰显了精准放疗技术在肿瘤治疗中的独特优势。

  该患者为胆管癌术后出现肺转移,两个转移病灶分别位于右肺上叶后段(大小26*25mm)及右肺下叶前基底段(大小28*30mm)。此前,患者已接受肝动脉化疗灌注(HACI)及多疗程全身化疗,但肺部病灶仍有增大趋势,治疗一度陷入困境。

  面对这一棘手情况,我院肿瘤放射治疗科团队经过充分评估和讨论,决定为患者实施SBRT治疗。SBRT作为一种高精度放疗技术,具有定位精准、剂量集中、对周围正常组织损伤小等特点,尤其适用于早期肺癌、脑转移瘤、寡转移瘤等。它如同精准制造的导弹,能够对肿瘤病灶进行“精准打击”,同时最大程度地保护周围正常组织。

  治疗过程非常顺利,患者无明显不适。治疗结束后复查,两个肺部转移病灶已基本消失,显示出SBRT在局部肿瘤控制方面的绝对优势。这一结果不仅为患者带来了新的希望,也再次印证了精准放疗在肿瘤综合治疗中的重要地位。

  这一成功案例,是我院肿瘤放射治疗科多年来深耕精准放疗技术的缩影。随着医学影像技术和放疗设备的不断发展,SBRT等精准放疗技术正在为越来越多的肿瘤患者带来福音。我院将继续探索和创新,为患者提供更精准、更有效的个体化治疗方案。

科室简介

  我院肿瘤放射治疗科拥有先进的放射治疗全套配套设施,包括德国西门子大孔径SOMATOM Confidence CT模拟定位机,具有高分辨率成像技术,并能快速完成病例的扫描,国际先进的Varian VitalBeam直线加速器,是唯一专为提供放射治疗及放射手术设计的系统,具有高精度,高安全性及高速度的特点,可常规开展调强放射治疗技术(IMRT)、深吸气屏气技术(DIBH)、图像引导放疗技术(IGRT)、快速容积调强技术(Rapid Arc)、自适应放疗技术(ART)及立体定向放疗技术(SRT)等精准放疗技术。胸腹部肿瘤患者通过DIBH技术使胸腹部呈扩张状态且保持稳定,避免心脏及其他正常器官受到高剂量的照射。据相关数据统计,DIBH技术可使心脏和冠脉受照射剂量下降50%上;美国瓦里安的GammMedlusix后装治疗机为宫颈癌,子宫内膜癌,外阴癌,阴道癌,直肠残留肿瘤等患者提供了治愈的基本保证。我院已经构建完整的放疗质量控制(QC)和质量保证(QA)体系,制定详细的质控管理制度,极大地保证了患者的安全。

  我院本着一切为患者负责的理念,常规开展放射治疗,免疫治疗,分子靶向治疗,化疗等肿瘤综合治疗手段,不仅造福桂林地区人民,更极大满足桂北地区病友的就医需求,实现在家门口就能享受国内外先进治疗设备带来的体验感;肿瘤放射治疗科团队基本功扎实,服务态度热忱。我们坚持以心换心,恪守服务宗旨,以专业与爱心服务患者,致力于成为造福群众的健康守护者。

  文、图:惠明旭


责任编辑:雷渝
相关信息
合作机构
生活网简介 | 网站地图 | 广告价格 | 联系我们 | 法律声明 | 建站服务 | 投稿