【协作组解病忧】高龄不设限,二附院救治90岁下肢动脉闭塞患者

发布时间:2026-04-09来源:桂林医科大学第二附属医院 阅读:

  近日,桂林医科大学第二附属医院心血管疾病诊疗协作组核心科室之一胸心血管外科团队,凭借精湛的微创介入技术,成功为一位90岁高龄老奶奶实施下肢动脉闭塞介入开通手术。术后老人肢体血运迅速恢复,疼痛消失、脚部回暖,以超高龄迎来康复奇迹。

  林奶奶(化名)年已九旬,因下肢动脉闭塞出现肢体发凉、麻木、剧烈疼痛,严重影响生活与睡眠,家属焦急万分。高龄老人身体机能减退、血管条件差、手术风险极高,传统开放手术难以耐受。面对挑战,桂林医科大学二附院胸心血管外科团队迅速完善评估,制定个体化微创介入方案,以创伤小、恢复快、安全性高的介入技术,为老人打通堵塞血管。

  术中,团队精准操作,通过穿刺即可完成血管开通、球囊扩张与血运恢复,全程平稳顺利。凭借娴熟技术与丰富经验,手术完美实现血管再通、保肢止痛的预期目标。术后当天,林奶奶肢体温度恢复,疼痛明显缓解;次日便可在床上活动,精神状态显著改善。家属连连称赞:“没想到90岁还能恢复这么好,感谢二附院胸心血管外科医护团队,给了老人高质量的晚年生活!”

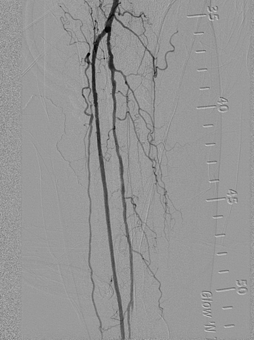
图1

图2

  股动脉下段闭塞,

  图1为术前DSA,图2为术后DSA

图3

图4

  膝关节下血管闭塞

  图3为术前DSA,图4为术后DSA

  专家介绍

文、图:阮晖


责任编辑:雷渝
相关信息
合作机构
生活网简介 | 网站地图 | 广告价格 | 联系我们 | 法律声明 | 建站服务 | 投稿