精修血管“隧道” 重燃行走希望丨血管外科IVUS技术让下肢血管“疑难杂症”有解

发布时间:2026-04-13来源:中南大学湘雅二医院桂林医院 阅读:

  近日,中南大学湘雅二医院桂林医院血管外科通过外周血管腔内超声(IVUS)这一精准诊疗技术,成功为多名下肢动脉硬化闭塞症患者实施了微创治疗。该技术的应用,大幅提高了患者的血管开通成功率,高效解决了复杂疑难病变的诊疗难题,标志着医院在下肢动脉硬化闭塞症诊疗领域迈入了“精准化、微创化”的新时代。

  精准透视告别盲视

  下肢动脉硬化闭塞症(ASO),是腿部血管因粥样硬化斑块堆积逐渐狭窄,甚至完全堵塞的血管疾病。患者早期会出现腿脚发凉、麻木,行走一段距离后腿部酸胀疼痛(即“间歇性跛行”);随着病情加重,即便在静息状态下也会产生剧烈疼痛,严重影响睡眠;如果病情持续进展,脚趾或足部可能出现溃疡、坏疽,最终面临截肢风险。

  传统治疗多依赖术者临床经验,属于“盲视”操作。针对复杂的长段血管闭塞、性质不明的血管病变,操作中导丝极易误入血管内膜下形成夹层,不仅无法成功开通血管,还可能加重患者病情,诊疗难度与风险一度居高不下。

  而外周血管腔内超声(IVUS)的应用,彻底改变了这一局面。IVUS是将微型超声探头送入血管内部,实现血管腔内实时探查的先进技术。如果说传统的血管造影(DSA)是“平面地图”,IVUS就是兼具实时导航、精准探测功能的“血管透视眼”。它能360度全方位清晰呈现血管壁横截面结构,为术者提供三大关键诊疗信息。

  明确病变性质:精准判断堵塞血管的是坚硬钙化斑块、松软脂质沉积,还是脱落血栓;

  定位导丝位置:清晰识别导丝处于血管真腔内,还是误入内膜下,避免操作失误;

  测量精准尺寸:准确获取血管真实直径,为球囊、支架等耗材选择提供科学依据。

  依托IVUS的精准引导,复杂血管病变的开通率大幅提升,血管夹层等手术并发症也得到有效规避,为微创治疗的安全高效开展提供了坚实保障。血管外科近期应用IVUS技术完成多例手术,其中有两例典型病例充分彰显了该技术在精准诊疗中的核心优势,让以往“无处下手”的疑难病例实现“精准拆弹”。

  识破误诊逆转危局

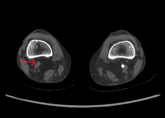
  第一个病例中,患者因下肢严重缺血入院。术前常规血管造影提示为“动脉闭塞”。如果按照传统思路,需要直接实施球囊扩张加支架植入手术。为实现精准诊疗,血管外科团队决定启用IVUS进行血管腔内探查。

1.png

3.png

  IVUS探头进入血管后,病变真相清晰呈现。血管内并非预想的慢性动脉硬化斑块,而是大块脱落的血栓堵塞了血管。患者属于急性或亚急性栓塞,与慢性闭塞的治疗方案截然不同,原本的支架方案必须推翻。

4术前.jpg

6术前.jpg

术前

  术前

8术中IVUS.jpg

9术中抽栓.jpg

术中IVUS

  术中抽栓正是基于这一精准诊断,团队迅速调整治疗策略,采用Straub-Rotarex血栓切除系统实施精准抽栓治疗。该系统如同血管内的“吸尘器”,能够将血栓碎屑彻底吸出,无需植入支架。

5术后.jpg

7术后.jpg

术后

  术后

  术后患者下肢静息痛即刻消失,血管血流恢复通畅。这一治疗既规避了盲目植入支架可能引发的远期再狭窄风险,也真正做到了“因病施治、精准施策”。

  穿越无光重获行走

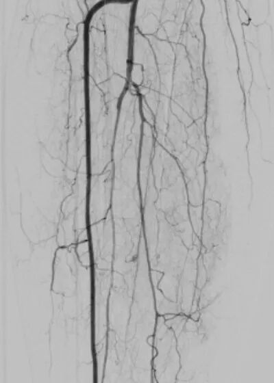
  另一个病例中,患者病情更为复杂。术前CTA检查显示,其股浅动脉至腘动脉全程闭塞,血管外科将这种情形称为“长段无光区”。传统治疗中,开通此类如同“水泥管”般的长段闭塞血管,难度极大,术者如同在黑暗中摸索,导丝极易误入内膜下形成夹层,导致手术失败。

2.png

  术中,血管外科团队以IVUS为“导航”,在其实时监视下,导丝精准找到血管真腔入口,顺利通过全程闭塞段,成功避免夹层发生,顺利打通患者腿部“生命通道”。针对血管开通后管腔内的严重增生性病变,团队采用准分子激光消融术进行减容处理,通过激光导管冷光源精准气化斑块,进一步恢复了血管正常内径。

4术前.jpg

术前

  术前

8术前IVUS引导.jpg

9术中激光开通.jpg

术前IVUS引导

  术中激光开通

5术后.jpg

7术后.jpg

术后

  术后

  经“精准诊断+精准操作”的一体化治疗,手术取得圆满成功。患者术前因严重缺血无法测出踝肱指数(ABI),术后ABI值恢复至0.92并接近正常水平,同时静息痛完全消失,重新恢复了自主行走能力,生活质量得到根本性改善。

  外周血管腔内超声(IVUS)技术的常态化临床应用,不仅是医院血管外科介入诊疗水平迈上新台阶的重要标志,也体现了“精准医学”理念在临床实践中的具体应用。从过去的“凭手感、凭经验”盲视操作,到如今的“看得见、测得准”精准诊疗,血管外科能够为每一位下肢动脉硬化闭塞症患者定制更具个体化、微创化的治疗方案,最大限度降低诊疗风险、提升治疗效果。

  未来,血管外科将持续深耕血管腔内介入诊疗技术,依托IVUS、准分子激光、Rotarex血栓清除系统等先进设备,不断攻克下肢动脉硬化闭塞症诊疗中的疑难问题,让更多患者免于截肢之痛,重拾行走的尊严与希望,为区域内下肢血管疾病患者的健康保驾护航。

  科室介绍

  中南大学湘雅二医院桂林医院血管外科,由国际著名血管外科专家舒畅教授领衔。目前有常驻湘雅专家1名,科室配备广西首台准分子激光、首台IVUS腔内超声及大隐静脉射频消融系统,医院开放DSA杂交手术间3间,科室医疗水平及设备环境处于广西一流水平。

  科室常规开展主动脉夹层、主动脉瘤、下肢动脉疾病、内脏动脉疾病和下肢深静脉血栓的诊治,同时开展下肢静脉曲张、血管瘤与血管畸形的微创及开放手术,以及透析通路的建立与维护。

  专家介绍

图片

  舒畅

  外科学博士,美国斯坦福大学血管外科中心博士后,一级主任医师、二级教授,博士生(后)导师。中国医学科学院阜外医院血管外科中心主任、血管中心二病区主任。中南大学湘雅二医院血管中心主任,中南大学血管病研究所所长,中南大学湘雅二医院桂林医院血管外科主任,国家重点临床专科(普通外科)及卫健委外周血管介入诊疗培训基地学科带头人,国家心血管疾病临床医学研究中心主要研究者(PI)。

  任美国纽约大学西奈山医学中心(Englewood Hospital of MT Sinai)、耶鲁大学医学院、斯坦福大学医学院等客座教授。

  学术任职包括:国家心血管病专业质控中心专家委员会血管外科专家工作组组长;国家心血管病专业质控中心专家委员会委员;国家心血管病专家委员会血管外科专业委员会主任委员;国家心血管病专家委员会委员;国际血管联盟副主席;外周动脉疾病泛大西洋协作组(TASC)委员;美国血管外科学会(Society of Vascular Surgery,SVS)国际委员;阿根廷心血管外科学会荣誉国际委员;中华医学会外科学分会委员;中华医学会外科分会血管外科学组委员;欧美同学会大血管疾病分会荣誉会长;北京医学会血管外科学分会副主任委员;湖南省血管外科专业委员会荣誉主任委员等。

  获得奖励包括:中华医学科技奖一等奖、北京市科技进步一等奖、湖南省科技进步一等奖、湖南医学科技奖等10余项。个人荣誉包括“中国医师奖”,“全国卫生系统先进个人”,被美国中华医学基金会(CMB)评为“杰出教授”,首届“湘雅名医”,首批全国名医百强榜,荣耀医者“金柳叶刀奖”,“第九届国家卫生健康突出贡献中青年专家”,“国之名医,卓越建树奖”;中国医学科学院协和医学院长聘教授等。

  主要研究方向为大血管疾病的基础与临床研究,培养硕士、博士研究生60余人,在国内外SCI、CSCD、Medline等期刊上发表论文300余篇,其中SCI收录140余篇。主持国家自然科学基金、北京市科技计划重点专项、中国医学科学院重大协同创新工程等多项科研项目。获国际国内发明和实用新型专利14项。受邀在全国20余个省(区、市)200多家医院进行会诊及手术,曾赴德国、意大利、希腊、葡萄牙、土耳其、格鲁吉亚、白俄罗斯、乌克兰、俄罗斯等18个国家进行手术演示170余台。

  作为专场主席、点评专家,主持国际性会议20余次,赴美国、澳大利亚、意大利、法国、德国、英国、比利时等国家讲学70余场。2009-2011年连续三年受邀在美国外科学院年会以及欧洲血管外科年会做大会专题报告,2011-2019年连续在美国Veith国际血管论坛做大会报告,连续六年在CICE做大会报告及手术直播演示,连续4年在美国C3会议手术直播演示。作为三位共同主席之一,2013年在伦敦主持英国皇家医学院血管峰会并开辟中西方对话专场。为欧洲、北美洲、南美洲、东南亚等16个国家培训专科医师190余人次。

图片

  李鑫

  湘雅二医院血管外科副主任,湘雅二医院桂林医院血管外科执行主任。外科学博士,血管外科主任医师,硕士研究生导师,中南大学血管病研究所副所长;美国耶鲁大学博士后;英国剑桥大学访问学者;德国莱比锡大学访问学者。

  国际血管联盟中国分会青年委员会常委;国家心血管病中心血管外科专业委员会下肢动脉学组委员;国家心血管病中心血管外科专业委员会青年委员;中国医师协会血管外科分委会下肢学组委员;中国医师协会介入分会大血管分委会委员;中国医师协会腔内血管学专业委员会糖尿病足专家委员会委员;中国医疗保健国际交流促进会糖尿病足病分会青年委员;中国研究型医院学会血管病专业委员会委员;湖南省医学会血管外科专业委员会副主任委员。

  共主持国家自然科学基金项目2项,参与国家自然科学基金项目3项,主持湖南省杰出青年基金项目1项,参与省级科研项目4项,主持中南大学前沿交叉课题1项;发表和参与发表英文和中文学术论文122篇(第一和通讯作者43篇)。获得国家发明专利3项,实用新型专利9项。

1d0048c75a3c1814d2aa7bf0759b6b9.jpg

  王伦常

  博士,主治医师,中共党员,血管外科执行副主任,美国密歇根大学联合培养2年。主持国家自然科学基金青年项目1项、湖南省自然科学基金项目2项,主持医院医疗新技术1项,主持卫健委课题1项。发表中英文学术论文20余篇。作为参与人获湖南省医学十大临床创新技术奖一等奖。从事血管外科临床工作十余年,获医院“青年岗位能手”“十佳住院医师”等荣誉。

  擅长:血管外科专科疾病的诊治,包括主动脉夹层、主动脉溃疡胸主腹主动脉瘤,下肢静脉曲张的微创和开放手术,下肢动脉粥样硬化闭塞症、动脉栓塞、脉管炎与糖尿病足的微创治疗,血管瘤与血管畸形的微创和开放手术,下肢深静脉血栓的手术治疗,颈动脉狭窄、椎动脉狭窄、肾动脉狭窄、内脏动脉狭窄与内脏动脉瘤的诊治,以及复杂透析通路的建立与维护。

图片

  姚松良

  外科学硕士,副主任医师,副教授。2005年毕业于桂林医学院,后获得桂林医学院外科学专业硕士学位,亚太血管学术联盟(APA)广西分会委员,广西中西医慢创协会委员,从事相关临床外科工作17年余。曾先后在中山大学第一附属医院、广西医科大学微创中心、中南大学湘雅二医院血管外科进修学习,主持自治区科研课题一项,在省级、国家级专业期刊发表学术论文数篇。

  擅长:血管外科各类疾病的诊断和介入、开放手术治疗,包括主动脉夹层、主动脉瘤、假性血管瘤、急性动脉血栓、下肢动脉硬化闭塞症、血栓闭塞性脉管炎、下肢深静脉血栓、先天性皮肤血管瘤、大隐静脉曲张的微创治疗等。

  通讯员:卿红双


责任编辑:雷渝
相关信息
合作机构
生活网简介 | 网站地图 | 广告价格 | 联系我们 | 法律声明 | 建站服务 | 投稿