从“大白肺”到自由呼吸:一位32岁危重孕产妇的生死逆转

发布时间:2026-04-13来源:桂林医科大学第二附属医院 阅读:

  从“大白肺”到自由呼吸,肺水高达34 ml/kg,正常值只有3-7ml/kg。当这个数字出现在PICCO监测仪上,ICU医护的心瞬间提到了嗓子眼。

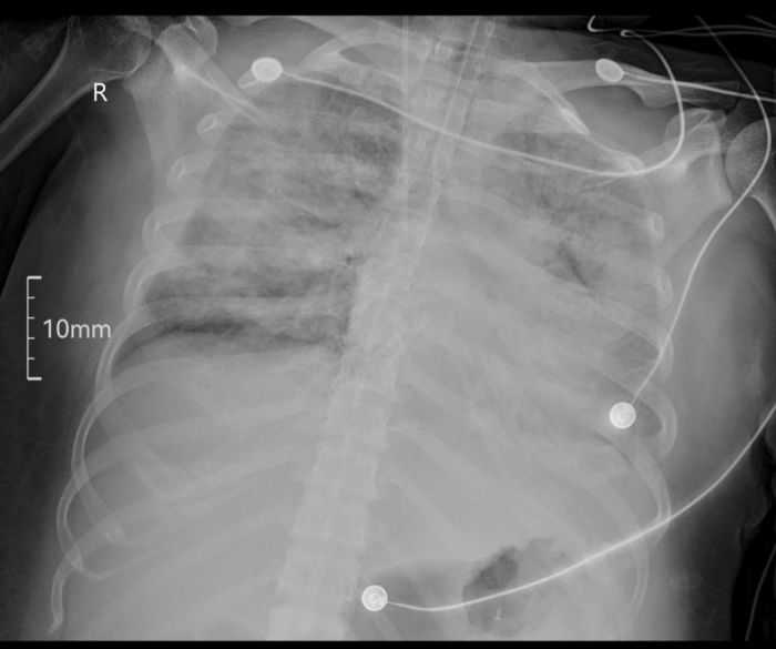
  32岁的她,刚经历引产之痛,随即被ANCA相关性血管炎狠狠击倒——多器官衰竭、两肺几乎完全变白(俗称“大白肺”)。氧合指数一度小于100 mmHg,ECMO团队24小时待命,在随时准备启用这“最后的救命机器”的紧要关头,重症医学科凭借一场精准的“排水战”把她从死亡线上拉了回来。

  免疫系统“叛变”

  守护者变成纵火犯

  住院期间,这位孕19周的准妈妈刚被确诊患有ANCA相关性血管炎。简单来说,就是她的免疫系统“敌我不分”,反过来攻击自己的血管。

  这种病一旦发作,如同体内燃起一场看不见的烈火。它不仅攻击肾脏,还会引发全身毛细血管严重“漏水”:大量液体从血管“逃”到肺里、胸腔、腹腔,形成多部位积液和致命的肺水肿。

  胸片显示,她的双肺几乎完全变白——这就是医生常说的“大白肺”,意味着肺里充满了液体,就像两块吸饱了水的海绵,无法正常换气。更要命的是,此前治疗使用的强效免疫抑制药物让她的免疫力极度低下,一种专挑免疫缺陷患者攻击的真菌——耶氏肺孢子菌也趁机而入,让她本就千疮百孔的肺部雪上加霜。

生死临界点

  ECMO随时待命

  4月1日,她的病情骤然恶化,极度呼吸困难,口唇紫绀,血氧饱和度仅有68%!重症医学科紧急为她气管插管、上呼吸机,并采用肺保护通气策略辅助呼吸,但病情仍在加重。次日,她的氧合指数降至100 mmHg以下(正常值400-500mmHg),这意味着她的肺换气功能连正常人的四分之一都不到,哪怕呼吸机全力工作,全身器官仍在严重缺氧。

  全院大会诊紧急启动,ECMO团队24小时待命。ECMO,即体外膜肺氧合,能暂时替代心肺功能,是最后的“救命稻草”。但摆在面前的难题是:患者刚经历引产和肾穿刺,血小板低、凝血功能差,上机后需抗凝处理,出血风险极高,这条救命之路,实则凶险万分。

  重症医学科决定放手一搏:在PICCO精准“导航”下,打一场步步为营的综合战役。不急着上ECMO,而是先问两个关键问题:她的肺到底“淹”了多深?能不能先把水抽干,让肺自己醒来?

  精准“导航”

  PICCO如何成为生命罗盘

  PICCO技术,全称“脉搏指示连续心输出量监测”。它通过一根特殊导管,实时监测心脏功能、血管外肺水(漏到肺里的液体量)等关键数据。正常人肺水指数是3-7 ml/kg,而这位患者高达34 ml/kg,相当于肺在水里“泡”着,根本无法呼吸!这个数字让ICU医护人员倒吸一口凉气,却也指明了唯一的出路:排水,精准地排水,持续地排水!

  PICCO就像一台体内水位GPS,不仅告诉你“有多少水”,还能动态反馈每抽掉一升水,肺水指标的改善情况。过去,医生只能凭经验“盲抽”,要么脱水不够、肺水肿持续,要么脱水过度导致血管内有效容量不足,甚至引发休克。而PICCO让这场“排水战”从蒙眼走钢丝变成了看着导航开夜车。

  三管齐下的

  “排水战”与“灭火术”

  在PICCO实时指引下,重症医学科制定了环环相扣的三条策略:

  第一招:强力脱水,抽干“肺里的洪水”。通过持续血液净化(类似加强版透析),重症医学科精细调节每小时的脱水量,在救治期间累计脱水20000毫升(相当于40瓶500ml矿泉水!),肺水指数从34ml/kg逐步降至正常范围。与此同时,双侧胸腔引流管引出大量胸水,肺部的物理压迫终于解除。

  第二招:双线抗感染,揪出那个“隐藏杀手”。患者免疫力低下,感染症状不典型,重症医学科一边用药物覆盖常见细菌和真菌,一边等待肺泡灌洗液tNGS检测结果(一种快速识别病原体的技术)。4月3日,tNGS报告锁定为耶氏肺孢子菌!医生立即调整抗真菌方案,从“广撒网”转向“精准狙击”,前后不到48小时。

  第三招:控制“火灾源头”,抑制血管炎活动。继续用药维持免疫抑制,联合3次血浆置换快速清除致病抗体,并用丙种球蛋白冲击治疗保驾护航。

  转机

  转入后5天拔管,7天转科

  4月3日,肺水肿指数降至16 ml/kg,氧合状态明显改善。

  4月4日,“大白肺”区域明显透亮,肺纹理重新显现。

  4月5日,成功拔除气管插管,患者开始自主呼吸。从完全依赖呼吸机到实现自由呼吸,只用了98个小时!

  4月7日,转回普通病房继续治疗。

给患者的生命寄语

  ANCA相关性血管炎,虽是一种可能危及生命的罕见病,但绝非不治之症。早期诊断、规范使用免疫抑制药、密切监测感染是治疗的关键。尤其需要提醒育龄期女性,疾病活动期一定要严格避孕,如果不慎怀孕,需由风湿免疫科、产科等多科室共同管理,因为妊娠本身会诱发免疫系统的剧烈变化,很可能点燃血管炎的“火药桶”。

  最后,二附院医生想说:你的身体也许在打一场内战,但现代医学已经学会了在烈火与洪水中架桥。从“大白肺”到自由呼吸,中间隔的不只是PICCO这个导航仪,更隔着一群永不放弃的医生,以及一个越来越懂得“精准”与“克制”的重症医学时代!

  文:侯炜


责任编辑:雷渝
相关信息
合作机构
生活网简介 | 网站地图 | 广告价格 | 联系我们 | 法律声明 | 建站服务 | 投稿