中南大学湘雅二医院桂林医院临桂院区心脏介入诊疗步入常态化

发布时间:2024-08-20来源:中南大学湘雅二医院桂林医院 阅读:

  近日,中南大学湘雅二医院桂林医院(国家区域医疗中心)临桂院区快速、高效完成了冠心病患者IVUS(血管内超声)指导下冠脉多支病变介入治疗,患者治疗获得了理想的效果。冠脉复杂病变介入诊疗的高效完成亦标志着临桂院区心脏介入诊疗工作步入常态化。

  IVUS(血管内超声)可以被视为透视冠状动脉的“第三只眼睛”,IVUS作为一种先进的冠状动脉腔内影像技术,使用安装在心导管顶端的微型超声探头,实时显示血管的截面图像,以极高的分辨率展示血管壁的细节:如血管管壁结构的厚度、管腔大小和形状等,精确地测量血管腔径及截面积,甚至可以辨认钙化、纤维化和脂质池等病变的大小和程度,发现冠脉造影不能显示的血管早期病变。基于这些信息,医生可以更准确地选择冠脉植入支架的尺寸、类型,以及确定最佳植入位置,大大降低手术风险。

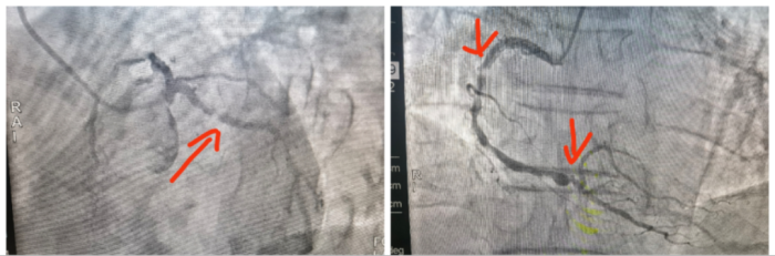
  74岁的梁爷爷(化名)自述在一年前的一次检查中发现右肺上有一结节,为寻求解决慕名到中南大学湘雅二医院桂林医院临桂院区胸外科就诊。患者冠脉血管造影检查提示其冠脉多支多处狭窄,8月13日的冠脉造影检查结果提示,患者心脏冠状动脉三支血管病变——右冠脉、回旋支有弥漫性狭窄合并钙化,多处病变狭窄超过90%。

  经过与患者及家属充分沟通后,患者转入心血管内科接受进一步治疗。在充分了解患者的病情后,心血管内科团队与胸外科执行主任梁恒星进行了详细的会诊讨论,认为患者胸部占位为限期手术,但因冠脉病变严重,需要完成冠脉病变的治疗后,再施行外科手术治疗。为尽快解决目前的困难,心血管内科团队决定采用IVUS(血管内超声)技术进行精准评估,并联合最新的进口冠脉支架,将术后双抗血小板时间尽可能缩短至1个月,再择期行外科手术治疗。

  8月15日,心血管内科执行副主任涂涛与行政副主任蒋小菊带领心血管团队在IVUS指导下顺利完成患者右冠脉和回旋支病变的介入治疗。术后再次使用IVUS进行检查,证实支架贴壁良好,无残余狭窄,患者的冠脉血供得到了显著改善。患者对手术过程的体验感及效果给予了充分的肯定和高度评价。

术前患者冠脉病变严重

术中IVUS显影

术后患者冠脉血供得到显著改善

  目前,中南大学湘雅二医院桂林医院(国家区域医疗中心)心血管内科提供一院两区(叠彩院区、临桂院区)服务,临桂院区目前完成了两间标准DSA(数字减影血管造影技术)手术室,配备国内一流的美国GE和德国西门子大C臂,并已经安装好冠脉旋磨仪、血管内超声仪(IVUS)、多导心电仪等先进仪器,可以完成各类心脏疾病的介入诊疗。

  在中南大学湘雅二医院心血管内科的大力支持下,桂林医院心血管介入诊疗等工作得到了快速发展,目前能够常规开展无导线起搏器、经导管主动脉瓣置换术、冠脉冲击波球囊术和冠脉旋磨等复杂心脏介入诊疗技术。未来,中南大学湘雅二医院桂林医院心血管内科将继续以“坚守初心,医‘心’为民”的精神,为桂北地区人民的“心”健康事业构筑起一道坚固的防线。

通讯员:梁兰婷 卢一红

责任编辑:雷渝
相关信息
合作机构
生活网简介 | 网站地图 | 广告价格 | 联系我们 | 法律声明 | 建站服务 | 投稿