精准诊疗,让“罕见”被“看见”

发布时间:2024-08-20来源:中南大学湘雅二医院桂林医院 阅读:

  近日,中南大学湘雅二医院桂林医院神经内科医疗团队在执行主任申向民教授的带领下,通过精准的临床思维和细致的文献查阅,成功诊断出一例多家医院未确诊的、罕见的继发性肥大性下橄榄核变性病例。

  肢体抖,头部晃

  困扰不已来求医

  患者黄女士(化名)今年3月底突发脑干出血,出现左侧肢体偏瘫、言语不清、吞咽障碍等神经系统损害症状,经治疗后症状有所缓解。然而一个月后,黄女士出现头部晃动和左侧肢体不自主抖动等情况,影响了其进食、发音和行走。

  为解决这一情况,黄女士辗转多家医院检查、治疗,但均疗效欠佳,疾病也未得到明确诊断。抱着对健康的极度渴望,黄女士及家属多方打听,最终慕名来到国家区域医疗中心——中南大学湘雅二医院桂林医院临桂院区神经内科就诊。

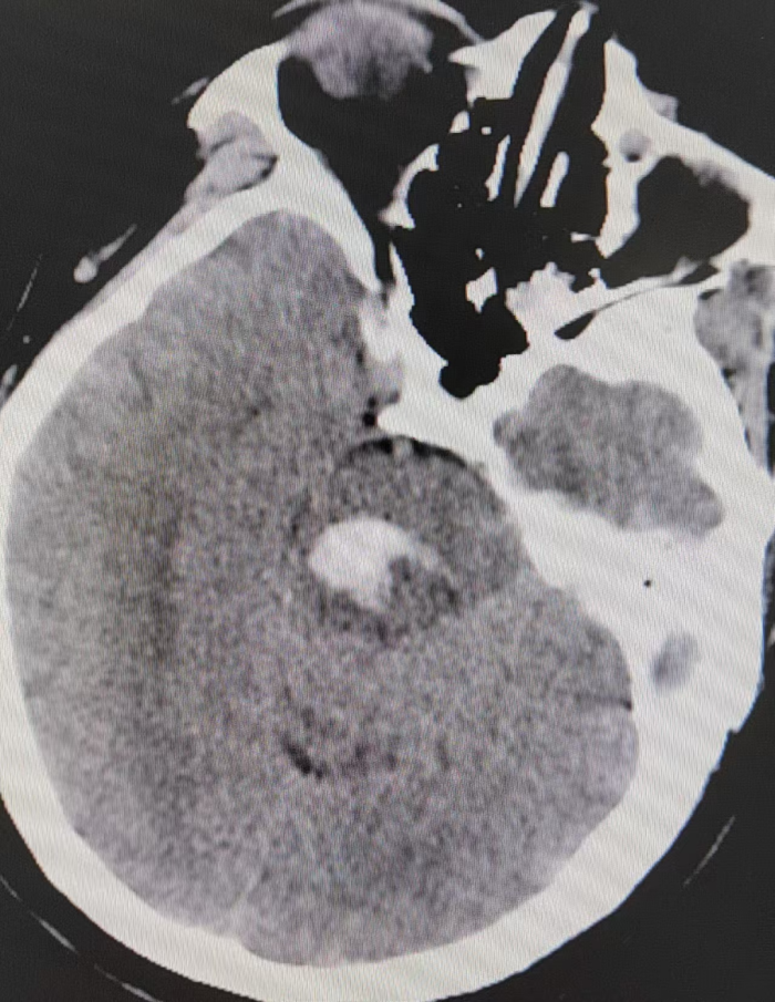
患者3月30日头颅CT平扫结果显示其右侧脑干出血

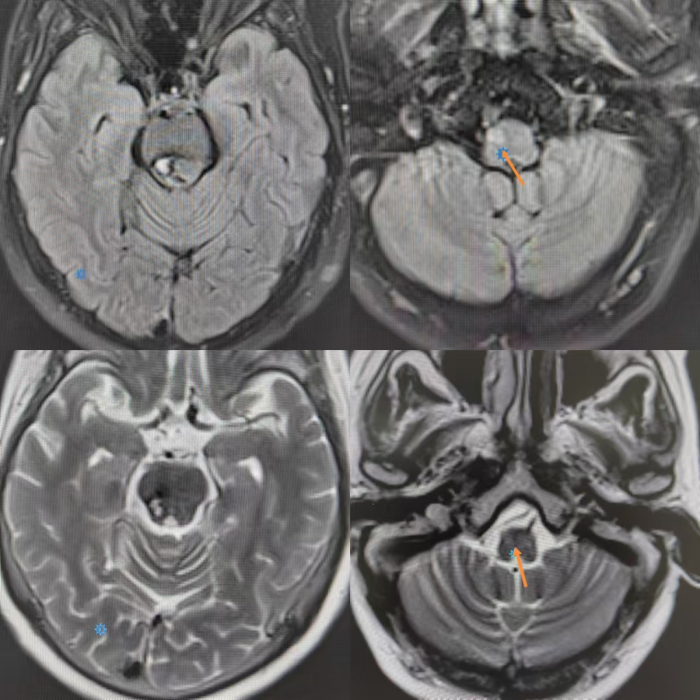
  6月7日,患者头颅磁共振显示,其可见右侧中脑及脑桥T2WI及FLAIR中心高信号,周围低信号;右侧延髓T2WI高信号、FLAIR稍高信号

  查细节,揪元凶

  精准诊疗“罕见病”

  神经内科执行主任申向民教授详细询问患者病史,并为其进行全面的神经系统体格检查,仔细查阅患者既往头颅影像学表现,迅速组织团队为患者安排了头颅磁共振检查,结果显示——患者头颅右侧延髓下橄榄核区域出现肿胀,表现为T2和T2FLAIR高信号影,脑桥和中脑区域可见陈旧性出血改变。

  8月1日,患者复查头颅磁共振结果显示,右侧延髓T2WI、FLAIR、DWI呈高信号,ADC呈稍高信号

  8月1日,患者复查头颅磁共振结果显示,右侧脑桥T2WI及FLAIR中心高信号,周围低信号

  申向民教授团队根据患者临床表现、病程的演变和头颅影像学特征,进行了疾病定位、定性分析,并结合国内、国外文献查阅,最终患者被确诊为极为罕见的继发性肥大性下橄榄核变性(hypertrophic inferior olivary degeneration, HOD)。

  鉴于目前HOD尚无特别有效的根治方法,因此申向民教授团队将治疗的重点放在了控制症状和预防并发症上,治疗方案包括使用氯硝西泮、苯海索、氟哌啶醇等药物减轻肢体抖动和头部晃动等不自主动作,并配合语言和肢体康复训练,以提高患者生活质量。

  经过一段时间的治疗和康复训练,黄女士的症状显著改善,不自主运动的频率和强度较以往明显下降,言语和吞咽功能也在逐渐恢复。患者和家属对国家区域医疗中心的医疗服务感到非常满意,并对神经内科的医疗团队表达了深深的感激。

  肥大性下橄榄核变性(HOD)是一种临床少见的神经系统变性疾病,发病率低,大部分神经内科医生对HOD缺乏了解,使得该病误诊率高、漏诊率高。让“罕见”被“看见”,脑干出血后继发性肥大性下橄榄核变性病例在临桂院区的首次确诊,不仅展示了医院作为国家区域医疗中心在神经系统疑难罕见病诊治上的雄厚实力,同时也为国内的医学同行研究该类疾病提供了宝贵的临床经验。

  认识肥大性下橄榄核变性

  1931年Guillian和Mollaret首次描述了齿状核-红核-下橄榄核环路并将其与HOD联系起来,故此环路也称为Guillian-Mollaret解剖三角。

  肥大性下橄榄核变性是原发病灶累及Guillain-Mollaret三角后出现的跨突触变性,常见的病因有海绵状血管瘤、手术、出血、梗死、肿瘤、外伤、炎症、脱髓鞘、变性疾病及放射性损伤等。

  HOD的发病机制尚未十分清楚,主流观点认为其与下橄榄核脱抑制有关。HOD的典型表现为腭肌阵挛,其特征是腭肌以2Hz-3Hz的固定频率收缩,但腭肌阵挛不是诊断HOD必需的临床表现;HOD还可表现为小脑性共济失调和其他不自主运动,垂直眼震和四肢震颤相对少见。

  HOD的影像学检查首选头颅磁共振(MRI),其特征性表现为延髓下橄榄核体积增加或无明显改变,T2WI呈异常高信号,T2FLAIR呈稍高或高信号,T1WI呈等或稍低信号,DWI呈等信号。HOD的鉴别诊断需排除肿瘤、脑梗死、脱髓鞘、感染/炎症过程等,这些疾病也可能表现为延髓前部T2WI信号的增高。

  目前对HOD的治疗尚无普遍共识,卡马西平、氯硝西泮、左旋多巴、苯海索、硫必利等药物可用于治疗肢体震颤。

  综上所述,加强对HOD临床表现和病因的认识,了解其头颅MRI特征性表现,有助于提高HOD的确诊率,从而避免漏诊或误诊。

  通讯员:韦苏云 易莉娜 

责任编辑:雷渝
相关信息
合作机构
生活网简介 | 网站地图 | 广告价格 | 联系我们 | 法律声明 | 建站服务 | 投稿