“很鲜”还是“很危险”?多学科联合诊治罕见脑寄生虫病

发布时间:2024-09-09来源:中南大学湘雅二医院桂林医院 阅读:

  近日,36岁的易先生(化名)因发作性抽搐,前往当地医院神经外科就诊,经仔细检查,医生确诊其颅内存在占位性病变,并立即实施了针对性的手术治疗。为了获得更加全面且专业的康复治疗,他慕名转至中南大学湘雅二医院桂林医院,期望通过专业治疗恢复行动能力,重返健康生活的轨道。

  到院后,康复医学科医师对易先生进行了详细检查。经查,患者肝功能异常、丙氨酸氨基转移酶高、天门冬氨酸氨基转移酶高,更为关键的是肝吸虫IgG抗体结果呈阳性,大便中发现肝吸虫虫卵。结合患者在当地医院的检查结果——炎性肉芽肿,不能明确脑部病变的性质。医师通过详细询问,在患者病史中得到了一个重要信息,他曾在横县和江门地区长期居住,喜欢吃生鱼片、蛇肉和生牛肉,还曾饮用过山泉水。

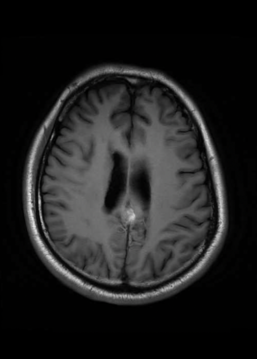
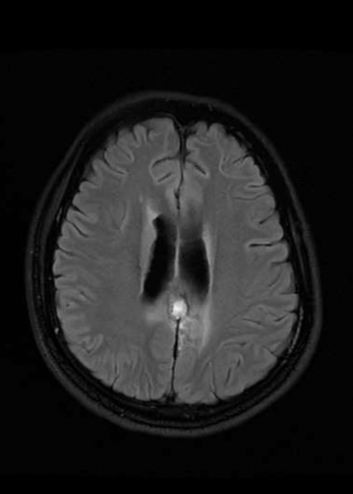
  在康复医学科执行主任樊永梅指导下,科室主治医师李慧立即为患者进一步进行腹部脏器和脑部检查。最终,发现患者头颅磁共振可见虫体移动的隧道征,腹部CT发现肝脏两个团块状病灶,考虑寄生虫感染病灶可能。得到这些线索后,康复医学科邀请桂林市疾控中心及医院神经外科、神经内科、放射科、消化内科、病理科、院感中心驻桂湘雅专家进行多学科大会诊。经过综合分析,专家团队诊断考虑患者为脑寄生虫病。同时脑部病变病理检查结果显示,患者大量急慢性炎症细胞浸润,局灶有微脓肿形成,以淋巴细胞、中性粒细胞为主,散布嗜酸性粒细胞,考虑寄生虫病变可能。

  针对患者肝吸虫感染和颅内寄生虫感染等情况,专家团队制定了一套综合治疗方案,包括药物治疗和必要的支持性治疗。

  经过一段时间的治疗和密切观察,易先生的症状显著改善,他的肝功能逐渐恢复正常,偏瘫、抽搐和狂躁等症状也得到了明显控制。

  那么,脑寄生虫病有什么表现?

  人体是怎么被感染的?

  怎样才能更好地预防寄生虫感染?

  什么是脑寄生虫病

  脑寄生虫病是由寄生虫虫体、幼虫或虫卵侵入人体脑组织,通过移行、寄居造成脑组织机械性损伤及免疫病理反应,引起过敏性炎症、肉芽肿形成、脑血管或脑脊液循环阻塞的脑病。

  常见的脑寄生虫病有囊虫病、肺吸虫病、血吸虫病及棘球蚴病、脑型疟疾、脑阿米巴病、脑锥虫病、脑丝虫病、脑旋毛虫病。

  哪些情况容易引发

  脑寄生虫病

  不良饮食习惯长期食用生的或未熟的食物,尤其是寄生虫污染的肉类或蔬菜;饭前便后未及时洗手。

  蚊虫叮咬:一些特定的蚊虫可以携带寄生虫,叮咬后感染人体引起脑寄生虫病。

  接触疫水:在有寄生虫的水域游泳,或在水边玩耍时感染蠕虫,也会引起脑寄生虫病。

  生活环境:经济贫困或在热带地区生活、旅游。

  脑寄生虫病的表现

  临床可表现为急性脑膜脑炎,或为继发性癫痫发作或伴有定位体征的颅内高压症,亦可有智能衰退或精神障碍。脑寄生虫病的临床表现主要取决于虫体的寄生位置、范围、数量,周围组织反应、血液循环及脑脊液循环障碍程度。

  脑寄生虫病病种较多,临床表现复杂多样,易误诊误治,需与原发性癫痫、结核性脑膜炎、病毒性脑炎、脑血管疾病、蛛网膜下腔出血、神经性头痛、脑肿瘤等鉴别。

  脑寄生虫病常见症状

  头痛:患者表现为头部疼痛,可突然出现,疼痛可呈锐痛(如针扎样疼痛)、钝痛(如锤子敲打样疼痛)等。

  发热:多表现为37.2°C~40°C的高热。体温上升期间患者出现怕冷、口唇苍白、全身哆嗦等表现。

  恶心、呕吐:多伴随头痛发生,常感觉上腹部不适,而后呕吐。呕吐物多为胃内容物。

  癫痫发作:表现为突然出现抽搐,抽搐发作时多伴有意识丧失,呼之不应,通常持续几分钟后缓解。

  肢体瘫痪:表现为一侧肢体不能活动。

  如何治疗脑寄生虫病

  支持治疗:营养支持治疗和抗炎保肝治疗。

  肾上腺皮质激素治疗:在病原体治疗过程中同时应用,可显著减少治疗药物引起的严重头痛、呕吐、癫痫发作等不良反应。

  外科手术治疗:脑囊虫尾蚴病患者,尤其是第三、四脑室囊尾蚴多为单个者,可采用手术摘除。眼囊尾蚴病患者应予以手术摘除眼内囊尾蚴,以免虫体被吡喹酮等药物杀死后引起全眼球炎而导致失明,皮下组织和肌肉囊尾蚴病发生部位表浅且数量不多时,也可采用手术摘除。

  预防措施

  个人卫生:饭前便后洗手,勤剪指甲、不吃生水、生食和不洁瓜果等。

  饮食安全:彻底煮熟食物,避免生食。

  环境卫生:避免接触可能含有寄生虫的土壤和水源,定期清洁消毒。

  康复医学科主治医师李慧提醒,市民在就医过程中,应详细叙述个人的发病过程,包括是否到过传染病高发区,以及饮食生活习惯等。同时,医务人员也需要详细询问患者疾病发病过程,了解患者的生活饮食习惯等,以避免遗漏。

  康复医学科

  中南大学湘雅二医院桂林医院康复医学科依托于中南大学湘雅二医院康复科近年快速发展,并与广西壮族自治区江滨医院、广西医科大学第一附属医院、广西壮族自治区人民医院、广西中医药大学第一附属医院康复医学科结为康复联盟,是集治疗、康复、预防、保健于一体的综合临床学科。

  科室分设康复评定室、运动治疗室、作业治疗室、言语治疗室、理疗室,中医传统针灸、推拿治疗室、高压氧室等,并设置门诊和康复病房。

  主要设备:康复医学科拥有经颅磁(TMS)治疗仪、下肢外骨骼机器人、神经肌肉电刺激(NMES)、冲击波治疗仪、超声波治疗仪、上肢三维机器人、多功能微波理疗仪、智能恒温蜡疗仪、磁振热治疗仪、电脑干扰电疼痛治疗仪、电脑中频电疗仪、超短波电疗机、智能温热牵引系统等较为先进的康复治疗设备。

  才构成:康复医学科现有主任医师及副主任医师4名,康复治疗师9名。科室人员先后前往中南大学湘雅二医院、四川大学华西医院等国内知名医院进修学习。

  主要业务:脑卒中后康复、脑外伤康复、脊髓损伤后康复、骨折术后康复、疼痛康复、呼吸心肺康复、运动损伤康复等。

  诊疗特色:科室以现代康复医学的理论及治疗方法结合中医传统特色康复,与骨科、胸外科、心血管内科、重症医学科、全科医疗科、神经内科、神经外科等多学科联合协作,开展各类现代康复治疗技术如PT、OT、ST、新Bobath技术、PNF技术、川平疗法、MET肌肉能量技术、关节松动术、肌筋膜触发点诊疗技术、贴扎技术等,运用康复理疗、针灸、推拿等治疗方法为患者诊治,在诊治多种常见病与疑难杂症等方面具有丰富的经验。

  通讯员:李慧 黄阳

责任编辑:雷渝
相关信息
合作机构
生活网简介 | 网站地图 | 广告价格 | 联系我们 | 法律声明 | 建站服务 | 投稿