桂林医院妇科“卷地毯式”围剿肿瘤,助力患者家属中秋团圆

发布时间:2024-09-23来源:中南大学湘雅二医院桂林医院 阅读:

  中秋佳节前夕,中南大学湘雅二医院桂林医院妇科传来一则令人振奋的消息——团队成功为一名卵巢癌伴大量腹水的患者完整切除卵巢癌盆腔病变,不仅为患者重燃生命的希望,更为其家庭带来了温馨的中秋团圆时刻。

  58岁的何女士(化名)近来饱受病痛折磨,已经半个多月吃不下食物了,与之相反的是肚子却一天比一天大。在当地医院检查后,何女士被诊断为卵巢癌并伴大量腹水。抱着最后一丝希望,何女士抱着滚圆的肚子于近日步履蹒跚地来到中南大学湘雅二医院桂林医院寻求救治。

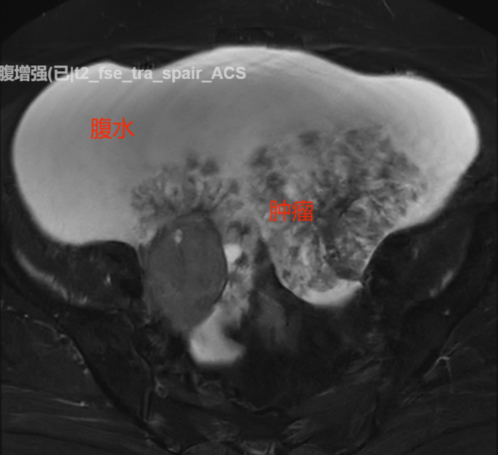
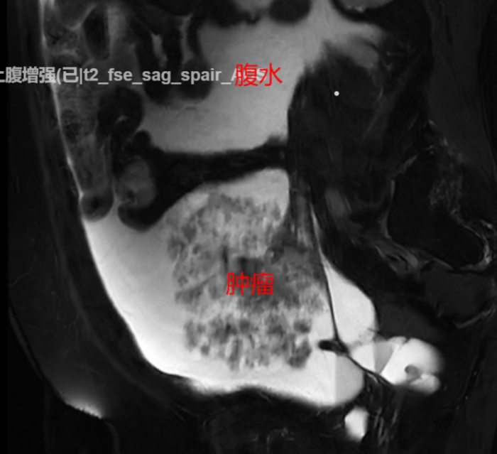
  经过住院检查,医师发现何女士血清白蛋白值偏低,Ca125及HE4等卵巢癌指标异常升高。核磁共振结果进一步显示患者盆腔内有不规则团片影,其为肿瘤性病变或种植性病变的可能性较大,且患者腹腔、盆腔有大量积液,腹腔内脂肪间隙模糊,不排除外转移性病变的可能。

多学科会诊查看患者情况

  为全力救治复杂病情患者,中南大学湘雅二医院妇科驻桂专家丁晖教授为患者进行了详细检查,并组织了四级手术术前多学科会诊。麻醉专家、副院长曹丽君带领麻醉科、肿瘤血液科、重症医学科、放射科及多个外科等八名相关专家查看患者情况,详细分析患者病情及可能存在的围手术期风险,并提出多种解决方案。最终,团队决定首选卵巢癌根治术,在评估患者可能有盆腔广泛腹膜转移情况后,选择以盆腔腹膜“卷地毯”式手术方式将患者卵巢癌盆腔病变整块切除。

  丁晖教授介绍,广泛性腹膜切除术(即“卷地毯”式腹膜切除术)是晚期卵巢癌肿瘤细胞减灭术的重要组成部分,能彻底切除腹盆腔内腹膜表面的播散性种植转移灶,有效改善患者预后,延长生命。

  手术中,医疗团队成功抽出高达3000毫升的腹水,并完整切除了卵巢、输卵管、子宫以及所有盆底腹膜的多处转移病灶(包括多处膀胱及肠道浆膜层的种植病灶,较大直径为3cm),甚至精准切除了肾静脉水平的转移淋巴结,实现了对肿瘤细胞的全面“围剿”。术后,何女士在医护人员和家人的精心照料下,恢复情况良好,并顺利完成了后续化疗。

患者及家属为妇科团队送上锦旗

  随着病情的稳定与好转,何女士及家人终于在中秋佳节这天阖家团圆,他们向医护人员表达了深深的感激。

  中南大学湘雅二医院桂林医院妇科团队又一次以精湛医术与多学科协作的综合实力,帮助患者战胜了病魔。在这个月圆人团圆的传统节日之时,这份胜利更显得意义非凡,温暖人心。

  专家介绍

  丁晖

  教授 医学硕士 副主任医师

  擅长:宫颈病变早期诊治、妇科肿瘤诊断及综合治疗。

  任湖南省宫颈疾病防治专业委员会副主任委员。2017年获得美国雅礼协会“贾氏基金”资助在美国耶鲁大学做访问学者。从事妇产科临床、教学、科研工作多年,在各类期刊上发表学术论文多篇,参编妇产科论著1部。

  门诊信息:【临桂院区妇科】每周二、周三(上午)

  通讯员:张芳


责任编辑:雷渝
相关信息
合作机构
生活网简介 | 网站地图 | 广告价格 | 联系我们 | 法律声明 | 建站服务 | 投稿