一探究“镜”,精准出击,畅通呼吸

发布时间:2024-09-23来源:中南大学湘雅二医院桂林医院 阅读:

  一呼、一吸

  对正常人来说

  也许是世间再简单不过的事情

  可因为肿瘤肆意疯长

  呼吸这件再正常不过的事情

  对于苏阿姨来说却变成一种奢望

  家住灵川县的苏阿姨(化名)确诊肺腺癌两年多,近期不时出现憋气、呼吸困难的症状,于是慕名来到中南大学湘雅二医院桂林医院就医。

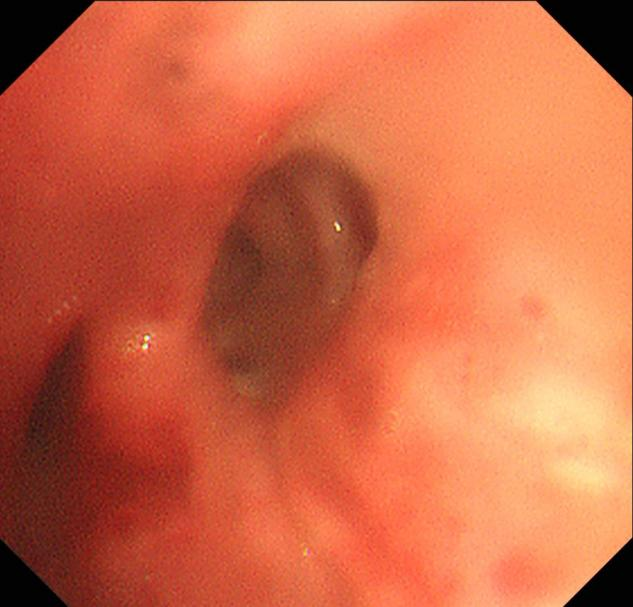
术前检查显示患者气道内存在占位性病变

  门诊医师了解情况后,为苏阿姨完善了CT检查,结果提示她的气道内存在占位性病变,这正是苏阿姨呼吸困难的直接原因。面对这一情况,科室迅速组织医生会诊讨论,大家一致认为需尽快实施支气管镜介入治疗,迅速开放受阻气道是目前最适宜的治疗方案。

  经过充分准备,呼吸与危重症医学科副主任医师詹峰为患者实施了经内镜气管内肿瘤切除术。术中,詹峰运用娴熟的内镜技术很快找到了病变,他发现患者隆突及右侧主支气管口被一新生物阻塞,气管阻塞率达90%以上。

术后患者气道内新生物被完全切除

  詹峰当机立断,运用一次性高频电圈套器切除患者气道肿瘤,成功将气道内新生物完全切除。经过内镜复查,患者右侧各段支气管管腔已经恢复了通畅,而且术中出血量极少。手术极大地缓解了患者的病情,改善了她的症状,术后当天,患者咳嗽明显缓解,胸闷感也明显减轻。

  呼吸与危重症医学科行政主任刘祁汨介绍,经纤支镜使用一次性电圈套器切除肿物这一技术,可以精准定位、直击病灶,能在不损伤周围正常组织的前提下,迅速切除气道内肿物,为气道恢复畅通开辟道路。

  中南大学湘雅二医院桂林医院呼吸与危重症医学科,致力于成为患者呼吸健康的坚实后盾。团队拥有丰富的临床经验和精湛的医疗技术,从术前的精确诊断到术中的精细操作,再到术后的精心护理,医护人员用心血和关爱,在每一个环节严格把控,确保手术的安全和成功,为守护患者的每一次顺畅呼吸不懈努力。

通讯员:黄郑


责任编辑:雷渝
相关信息
合作机构
生活网简介 | 网站地图 | 广告价格 | 联系我们 | 法律声明 | 建站服务 | 投稿