医联体开通“高速路”丨湘雅二医院桂林医院技术“沉下去”,患者重新“走起来”

发布时间:2025-12-05来源:中南大学湘雅二医院桂林医院 阅读:

  近日,一场跨院医疗协作,让家住永福县、足趾创面久治不愈的七旬老人在“家门口”重获行走的希望。中南大学湘雅二医院桂林医院血管外科与永福县人民医院外科依托医联体协作平台,跨院联动、精准施术,成功为该左下肢腘动脉闭塞患者实施了微创介入开通手术。这不仅为患者解除了病痛,更以优质医疗资源下沉的务实举措,推动区域血管疾病诊疗能力迈上新台阶。

  据了解,患者因左下肢间歇性跛行数月,近期左足趾出现坏疽并伴有持续性疼痛,行走与睡眠受到严重影响,于是紧急前往永福县人民医院就诊。经下肢血管造影检查,患者被确诊为左下肢腘动脉闭塞。血管的堵塞会导致下肢血运减少,进而使患者创面迁延不愈并静息痛加重,极大地影响患者的正常生活。

  依托紧密的医联体协作机制,永福县人民医院外科立即将患者情况同步至湘雅二医院桂林医院血管外科。接到会诊请求后,血管外科迅速响应,组建由科室骨干组成的专家团队,通过远程会诊系统细致分析患者病情、评估病变范围。考虑到患者年事已高、转运风险大,同时为了让患者在“家门口”就能获得高水准治疗,并切实提升基层医疗技术水平,专家团队决定采用“专家下沉+联合手术”的模式,由湘雅二医院桂林医院的专家团队前往永福县人民医院指导并参与手术。

  手术当天,血管外科执行副主任王伦常、行政副主任姚松良抵达后,再次与永福县人民医院外科团队开展术前讨论,细化手术流程与风险应对预案。考虑到县医院DRG及患者的经济条件,团队选择真腔通过闭塞病变,并采取POBA(经皮腔内球囊血管成形术)加药物球囊方案,无需支架置入,在保证治疗效果的同时满足多方需求。术后,患者当即感到患肢皮温明显回升,疼痛显著减轻,持续性疼痛症状显著缓解,肢体血供得到了有效改善。

  此次联合手术的成功,是湘雅二医院桂林医院血管外科践行医联体建设理念、推动优质医疗资源下沉的生动实践。手术过程中,专家通过“手把手”带教、实时技术指导,将血管疾病微创介入诊疗的核心技术与临床经验毫无保留地传递给永福县人民医院外科团队,有效地提升了基层医生对外周血管急重症的诊断思维与手术操作能力。

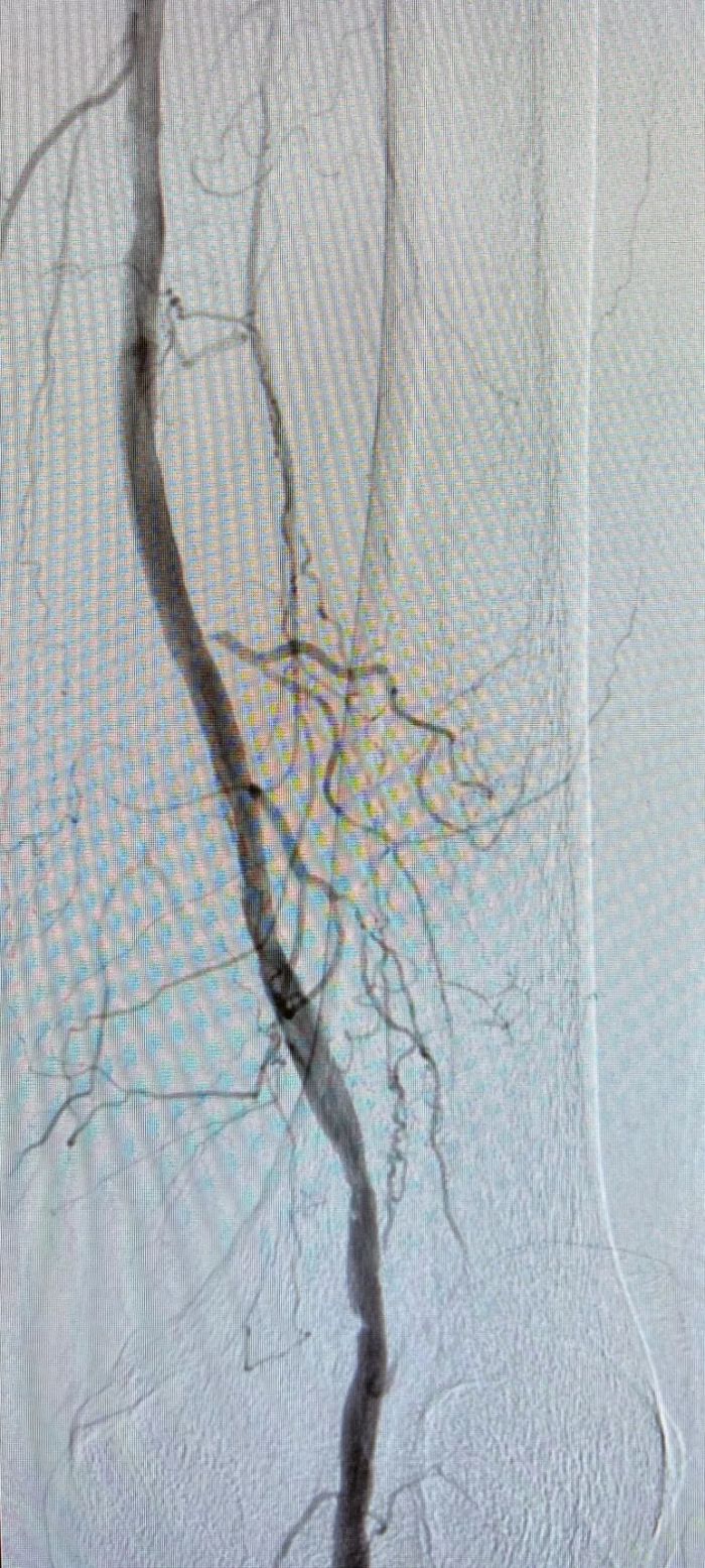
35e82620b28e49e3bc0d60d7da7a7963.jpg

术前.jpg

术前闭塞的腘动脉远端几无血流

术后.jpg

球囊扩张后血管恢复通畅

  血管外科执行副主任王伦常表示,科室始终以构建区域血管疾病诊疗协作网络为目标,未来将持续深化与各医联体单位的合作,通过远程会诊、技术培训、人才进修、联合门诊等多元化形式,推动优质医疗资源持续下沉,让更多血管疾病患者无需奔波就能享受到三甲医院同质化的诊疗服务,切实降低血管疾病致残率,为健康广西、健康桂林建设注入专科力量。此次跨院协作的圆满成功,进一步彰显了桂林医院作为国家区域医疗中心的技术引领与责任担当,为桂北地区血管外科诊疗水平的整体提升奠定了坚实基础。

  科室介绍

  中南大学湘雅二医院桂林医院血管外科,由国际著名血管外科专家舒畅教授领衔。目前有常驻湘雅专家1名,科室配备广西首台准分子激光、首台IVUS腔内超声及大隐静脉射频消融系统,医院开放DSA杂交手术间3间,科室医疗水平及设备环境处于广西一流水平。

  科室常规开展主动脉夹层、主动脉瘤、下肢动脉疾病、内脏动脉疾病和下肢深静脉血栓的诊治,同时开展下肢静脉曲张、血管瘤与血管畸形的微创及开放手术,以及透析通路的建立与维护。

  专家介绍

图片

  舒畅

  外科学博士,美国斯坦福大学血管外科中心博士后,一级主任医师、二级教授,博士生(后)导师。中国医学科学院阜外医院血管外科中心主任、血管中心二病区主任。中南大学湘雅二医院血管中心主任,中南大学血管病研究所所长,中南大学湘雅二医院桂林医院血管外科主任,国家重点临床专科(普通外科)及卫健委外周血管介入诊疗培训基地学科带头人,国家心血管疾病临床医学研究中心主要研究者(PI)。

  任美国纽约大学西奈山医学中心(Englewood Hospital of MT Sinai)、耶鲁大学医学院、斯坦福大学医学院等客座教授。

  学术任职包括:国家心血管病专业质控中心专家委员会血管外科专家工作组组长;国家心血管病专业质控中心专家委员会委员;国家心血管病专家委员会血管外科专业委员会主任委员;国家心血管病专家委员会委员;国际血管联盟副主席;外周动脉疾病泛大西洋协作组(TASC)委员;美国血管外科学会(Society of Vascular Surgery,SVS)国际委员;阿根廷心血管外科学会荣誉国际委员;中华医学会外科学分会委员;中华医学会外科分会血管外科学组委员;欧美同学会大血管疾病分会荣誉会长;北京医学会血管外科学分会副主任委员;湖南省血管外科专业委员会荣誉主任委员等。

  获得奖励包括:中华医学科技奖一等奖、北京市科技进步一等奖、湖南省科技进步一等奖、湖南医学科技奖等10余项。个人荣誉包括“中国医师奖”,“全国卫生系统先进个人”,被美国中华医学基金会(CMB)评为“杰出教授”,首届“湘雅名医”,首批全国名医百强榜,荣耀医者“金柳叶刀奖”,“第九届国家卫生健康突出贡献中青年专家”,“国之名医,卓越建树奖”;中国医学科学院协和医学院长聘教授等。

  主要研究方向为大血管疾病的基础与临床研究,培养硕士、博士研究生60余人,在国内外SCI、CSCD、Medline等期刊上发表论文300余篇,其中SCI收录140余篇。主持国家自然科学基金、北京市科技计划重点专项、中国医学科学院重大协同创新工程等多项科研项目。获国际国内发明和实用新型专利14项。受邀在全国20余个省(区、市)200多家医院进行会诊及手术,曾赴德国、意大利、希腊、葡萄牙、土耳其、格鲁吉亚、白俄罗斯、乌克兰、俄罗斯等18个国家进行手术演示170余台。

  作为专场主席、点评专家,主持国际性会议20余次,赴美国、澳大利亚、意大利、法国、德国、英国、比利时等国家讲学70余场。2009-2011年连续三年受邀在美国外科学院年会以及欧洲血管外科年会做大会专题报告,2011-2019年连续在美国Veith国际血管论坛做大会报告,连续六年在CICE做大会报告及手术直播演示,连续4年在美国C3会议手术直播演示。作为三位共同主席之一,2013年在伦敦主持英国皇家医学院血管峰会并开辟中西方对话专场。为欧洲、北美洲、南美洲、东南亚等16个国家培训专科医师190余人次。

图片

  李鑫

  外科学博士,血管外科主任医师,硕士研究生导师,中南大学血管病研究所副所长;美国耶鲁大学博士后;英国剑桥大学访问学者;德国莱比锡大学访问学者。

  国际血管联盟中国分会青年委员会常委;国家心血管病中心血管外科专业委员会下肢动脉学组委员;国家心血管病中心血管外科专业委员会青年委员;中国医师协会血管外科分委会下肢学组委员;中国医师协会介入分会大血管分委会委员;中国医师协会腔内血管学专业委员会糖尿病足专家委员会委员;中国医疗保健国际交流促进会糖尿病足病分会青年委员;中国研究型医院学会血管病专业委员会委员;湖南省医学会血管外科专业委员会副主任委员。

  共主持国家自然科学基金项目2项,参与国家自然科学基金项目3项,主持湖南省杰出青年基金项目1项,参与省级科研项目4项,主持中南大学前沿交叉课题1项;发表和参与发表英文和中文学术论文122篇(第一和通讯作者43篇)。获得国家发明专利3项,实用新型专利9项。

1d0048c75a3c1814d2aa7bf0759b6b9.jpg

  王伦常

  博士,主治医师,美国密歇根大学联合培养2年。中共党员。主持国家自然科学基金青年项目1项、湖南省自然科学基金项目2项,主持医院医疗新技术1项,主持卫健委课题1项。发表中英文学术论文20余篇,其中第一作者SCI论文4篇。作为参与人获湖南省医学十大临床创新技术奖一等奖。从事血管外科临床工作十余年,获医院“青年岗位能手”“十佳住院医师”等荣誉。

  擅长:血管外科专科疾病的诊治,尤其是下肢静脉曲张的微创和开放手术、下肢动脉粥样硬化闭塞症、动脉栓塞、脉管炎与糖尿病足的微创治疗、血管瘤与血管畸形的微创和开放手术。同时可常规完成主动脉疾病(包含主动脉夹层、动脉瘤),颈动脉狭窄、椎动脉狭窄、肾动脉狭窄、内脏动脉狭窄与内脏动脉瘤、下肢深静脉血栓的诊治,以及透析通路的建立与维护。

  出诊时间:周二上午(临桂院区),周四上午(叠彩院区)。如遇工作变动,请以当日实际公布的出诊时间表为准。

图片

  姚松良

  外科学硕士,副主任医师,副教授。2005年毕业于桂林医学院,后获得桂林医学院外科学专业硕士学位,亚太血管学术联盟(APA)广西分会委员,广西中西医慢创协会委员,从事相关临床外科工作17年余。曾先后在中山医科大学一附院、广西医科大学微创中心、中南大学湘雅二医院血管外科进修学习,主持自治区科研课题一项,在省级、国家级专业期刊发表学术论文数篇。

  擅长:血管外科各类疾病的诊断和介入、开放手术治疗,包括主动脉夹层、主动脉瘤、假性血管瘤、急性动脉血栓、下肢动脉硬化闭塞症、血栓闭塞性脉管炎、下肢深静脉血栓、先天性皮肤血管瘤、大隐静脉曲张的微创治疗等。

  通讯员:卿红双


责任编辑:雷渝
相关信息
合作机构
生活网简介 | 网站地图 | 广告价格 | 联系我们 | 法律声明 | 建站服务 | 投稿