重获“疏”适丨湘雅二医院桂林医院泌尿外科“黑科技”支架精准疏通生命管道

发布时间:2025-12-05来源:中南大学湘雅二医院桂林医院 阅读:

  近日,中南大学湘雅二医院桂林医院(桂林国家区域医疗中心)泌尿外科团队在驻桂专家、执行主任赵洪青及行政副主任周骥带领下,成功完成一例高难度金属温控输尿管支架置入术,为一名晚期肿瘤患者解除了输尿管梗阻,疏通了身体的“下水道”。该技术的顺利应用,标志着医院在泌尿外科微创治疗领域取得了新突破,也为桂林乃至广西地区的患者带来了新的治疗选择。

  患者阳女士(化名)是一位晚期乳腺癌患者,多年来一直在桂林医院肿瘤血液科坚持治疗。面对肿瘤全身多处转移的严峻病情,她始终以乐观和坚强的态度与之抗争。多年抗癌路上,放化疗的艰辛未曾将她击倒。然而,肿瘤腹膜后转移压迫双侧输尿管,导致其双肾积水、肾功能严重受损,肌酐升高,体内毒素无法顺利排出,这为她本就不易的抗癌之路增添了又一重难关。

  随着病情进展,阳女士身体状况日益下降。她曾辗转多家医院,得到的建议多是定期更换普通输尿管支架,但肿瘤进展导致输尿管支架压力过高,即使更换支架,尿液仍然不能正常排出。她也尝试过肾造瘘引流,但长期留置外露的引流管不仅容易发生感染、脱出,也给日常生活带来了极大不便。后来,阳女士了解到中南大学湘雅二医院桂林医院泌尿外科能够开展一种被称为“黑科技”的金属支架置入术,或许能让她摆脱造瘘管的折磨,于是慕名前来求医。

图片 1.png

图片 2.png

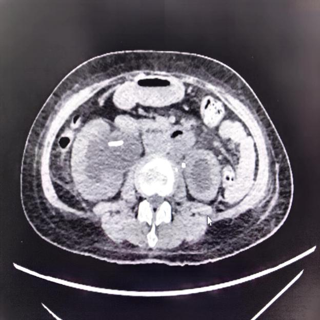
术前影像检查清晰显示患者双侧肾积水及输尿管受压

  入院完善相关检查后,医师发现患者右侧输尿管受到肿瘤严重压迫,其承担主要排毒功能的肾脏产生的尿液完全无法流入膀胱。针对这一棘手情况,赵洪青、周骥带领团队经过审慎评估,最终为患者确定了“黑科技”金属温控输尿管支架置入术这一精准治疗方案。

  赵洪青介绍,此次应用的“黑科技”全称为热膨胀金属输尿管支架,它利用镍钛合金在特定温度下呈现不同形态的特点,在5℃低温下柔软易塑形,便于置入和取出;而在37℃的人体温度下,它能提供持久、稳定的径向支撑力,有效对抗外部压迫。这项技术操作新颖,且相较于进口产品费用更低,能让更多患者尤其是恶性肿瘤压迫、腹膜后纤维化、肿瘤占位、放疗后等原因造成的难治性输尿管狭窄的患者受益。

  正是基于这项技术带来的可能性,团队决定迎难而上,为阳女士实施手术。术中镜下可见患者右侧输尿管狭窄段极为严重,连最细的输尿管硬镜也无法通过。面对这一复杂情况,团队凭借丰富的经验和娴熟的技术,巧妙地运用输尿管软镜结合球囊扩张技术,成功扩张了狭窄段,并将金属温控支架精准置入预定位置,手术取得圆满成功。

图片 3.png

术后复查影像显示患者肾积水明显减轻,尿液引流通畅

  术后,阳女士的肾功能得到显著改善,在夹闭肾造瘘管的情况下,肌酐值从术前的168.7umol/L降至正常范围。后续影像复查确认,尿液已能经由温控支架架构的“新通道”顺畅流入膀胱。最终,阳女士在出院前成功拔除了困扰她已久的肾造瘘管。

  摆脱了体外引流管的束缚,阳女士的生活质量得到了极大提升,脸上也重现了笑容。她表示:“开心地过好每一天,还有你们(医护人员)为我保驾护航,我绝不会放弃。”为了表达深深的谢意,她特意为泌尿外科团队送上了锦旗和感谢信。

图片 4.png

  此次高难度手术的成功实施,不仅是泌尿外科微创技术实力的有力印证,更体现了国家区域医疗中心在攻克疑难重症、引入并创新先进治疗方案方面的担当与作为。热膨胀金属输尿管支架技术的应用,为恶性肿瘤压迫等原因导致的复杂性输尿管狭窄患者提供了一种更为长效、经济、且能显著提升生活质量的有效选择,真正实现了“以患者为中心”的医疗理念,照亮了更多危重患者的康复之路。

  科室介绍

  中南大学湘雅二医院桂林医院泌尿外科成立于1987年,科室现有医务人员23人,其中医师11人,现有博士1人、在读博士1人、硕士研究生4人。护士12人,本科以上学历7人,在读本科5人。

(小)泌尿外科合照.png

  泌尿外科是一支集临床、教学、科研为一体的技术精湛、服务优良的医疗专业队伍。目前正通过实施“品牌、技术、管理”三平移,逐步实现与湘雅二医院泌尿外科同质化发展。

微信图片_20240604104749.jpg

  目前科室配备大功率钬激光设备1台、120W铥激光设备1台、前列腺热消融设备1台、膀胱镜2套、电子输尿管软镜2套、输尿管硬镜4套、微创经皮肾镜2套、前列腺等离子汽化电切镜2套。

微信图片_20250218152640.jpg

  科室可常规开展经尿道前列腺电切术、前列腺热蒸汽消融术、前列腺钬激光剜除术、经尿道膀胱肿瘤等离子电切术、经尿道输尿管软镜钬激光碎石术、经皮肾镜碎石术、经皮肾软镜联合碎石取石术、腹腔镜下复杂性肾上腺肿瘤切除术、腹腔镜下肾癌根治性切除术、腹腔镜下肾部分切除术、腹腔镜下前列腺癌根治术、腹腔镜下膀胱扩大术、BOARI瓣输尿管膀胱吻合成型术、腹腔镜下膀胱癌根治回肠代膀胱及原位膀胱手术等。

赵洪青.jpg

  赵洪青

  副主任医师 博士

  擅长:泌尿外科疑难杂症的处理,特别是微创治疗的个体化处理。

  1996年毕业于湖南医科大学临床医学系,2005年获湖南医科大学外科学博士学位,中南大学湘雅二医院桂林医院泌尿外科执行主任。自1996年本科毕业留校两年起从事泌尿外科临床工作至今。

  开展女性膀胱全切系统治疗(2006年湖南省科技厅课题)、高分级膀胱肿瘤TURBT二次电切治疗(2007年)、皮肾软镜联合治疗复杂肾结石百余例,肾盂肾盏输尿管狭窄闭锁手术400余例,肾癌、尿路上皮癌、前列腺癌根治手术600余例。

  法国Lorraine大学机器人研修学员(2016年),主刀泌尿微创手术逾5000例,每年受外院邀请参加疑难、危重病例会诊50次以上,每年主持泌尿外科科内查房50余次。

周骥.png

  周骥

  副主任医师

  擅长:泌尿系结石、泌尿系肿瘤、前列腺增生等疾病的微创手术治疗。

  中南大学湘雅二医院桂林医院泌尿外科行政副主任。2004年毕业后一直从事泌尿外科工作,先后在中山大学第一附属医院、中南大学湘雅二医院泌尿外科进修学习。

  广西抗癌协会常务委员,桂林市预防医学会泌尿外科疾病防治委员会副主任委员、桂林市医学会泌尿外科委员会委员。在国家核心期刊发表论文多篇。

微信图片_20250219151046.jpg

  拱华

  副主任医师

  擅长:各类泌尿外科微创手术,如经尿道前列腺等离子电切术、经尿道膀胱肿瘤电切术,输尿管硬镜、软镜下钬激光碎石取石术,经皮肾镜钬激光碎石取石术、腹腔镜下肾上腺肿瘤切除术等各类微创手术。

  1996年毕业于桂林医学院临床医学系,毕业后从事泌尿外科临床及教学工作至今。曾先后在北京首都医科大学附属友谊医院、中山大学附属第二医院、德国乌尔姆大学附属医院肯普滕医疗中心进修学习。熟练掌握泌尿系结石、肿瘤、损伤及前列腺增生等泌尿外科常见病、多发病的诊断及治疗,临床经验丰富。

  积极参与桂林医学院的本科教学工作,曾获2017年度桂林医学院英文教学比赛优胜奖及2017-2019年度桂林医学院“优秀教师”称号。

  通讯员:姚湘锡

责任编辑:雷渝
相关信息
合作机构
生活网简介 | 网站地图 | 广告价格 | 联系我们 | 法律声明 | 建站服务 | 投稿