花开二度丨只为守护透析患者的“生命线”

发布时间:2026-04-03来源:中南大学湘雅二医院桂林医院 阅读:

  近日,应医联体单位永福县人民医院肾内科黎智勇主任、外科唐锡军主任邀请,中南大学湘雅二医院桂林医院(国家区域医疗中心)血管外科执行副主任王伦常、行政副主任姚松良前往该院开展技术帮扶,成功为两名肾透析患者解决透析通路血栓栓塞问题,以专业医疗技术为基层患者的“生命线”保驾护航。此次是桂林医院血管外科第二次赴永福县人民医院开展专项技术帮扶,切实将优质医疗资源送到群众家门口。

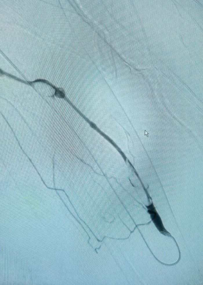
  据了解,两名患者均为长期依赖透析的肾病患者。其中一名患者病情尤为复杂,不仅存在透析通路血栓栓塞问题,还合并头静脉血管瘤,瘤体内大量血栓堵塞血管,且患者心功能不佳,手术治疗风险较高。

  血管通路作为透析患者的“生命线”,其畅通与否直接关系到治疗效果和生命安全。医疗团队与患者家属充分沟通后,综合评估病情,最终选择了留置长期透析管的个性化治疗方案,既有效保障了患者日常透析需求,又最大限度降低了手术风险。

  另一名患者则接受了介入下动静脉内瘘开通术,术后自体动静脉内瘘震颤恢复,血管通路功能得到有效重建,目前正接受规范溶栓治疗。目前,两名患者术后恢复情况良好,治疗效果得到了患者及家属的高度认可。

微信图片_20260331230729.jpg

微信图片_20260331230735.jpg

术前.jpg术前影像

术中.jpg

术中影像

术中2.jpg术中影像

术后.jpg

术后影像

微信图片_20260331231852_445_97.jpg  此次技术帮扶,再次体现了桂林医院与永福县人民医院医联体协作的深化。通过血管外科专家下沉基层,开展现场手术指导、技术实操带教等方式,切实提升了基层医院对透析患者血管通路并发症的临床处置能力,让县域内肾病透析患者在家门口就能享受到三甲医院优质、专业的医疗服务,真正实现了“大病不出县”的医疗服务目标。

  作为国家区域医疗中心重点建设科室,血管外科在透析血管通路的建立与维护方面具备显著专业优势,始终以患者需求为中心,为透析患者筑牢“生命线”防线。

  科室技术全面,以微创治疗为主,熟练开展超声引导下及DSA下动静脉瘘球囊扩张术、取栓术、支架植入术等各类微创介入治疗,具有创伤小、恢复快的特点,能最大程度保留患者有限的血管资源。针对动脉瘤、中心静脉狭窄、高难度翻修及合并严重心肺功能不全等复杂病例,科室积累了丰富的个体化诊疗经验,可根据患者病情制定精准治疗方案。


  同时,科室主动融入医联体建设,通过技术指导、手术带教、远程会诊等多种方式,持续帮扶基层医院提升血管通路管理能力,打通服务基层透析患者的“最后一公里”。此外,科室建立了从术前血管评估、通路建立,到术后维护、并发症处理的全周期血管通路管理体系,为透析患者提供全程、精准的医疗护航。

  未来,中南大学湘雅二医院桂林医院血管外科将继续发挥专业技术优势,不断深化与各医联体单位的协作内涵,推动优质医疗资源向基层延伸、下沉,以更精湛的医疗技术、更优质的医疗服务,为桂林及周边地区更多透析患者的“生命线”保驾护航,切实守护基层群众的生命健康。

  【科普小课堂】

  自体动静脉内瘘为何会“堵”?

  自体动静脉内瘘被誉为透析患者的“生命线”,保持其长期通畅是临床诊疗的重中之重。血栓栓塞是导致内瘘失功最常见的原因,主要与以下因素有关。

  ❏血管狭窄:反复穿刺或血流动力学改变,容易导致血管内膜增生、管腔狭窄,血流通过受阻,流速减慢,进而诱发血栓形成。

  ❏低血压或脱水:透析过程中超滤过多,或患者出现腹泻、呕吐、血压下降等情况,会导致有效血容量减少,内瘘血流缓慢、血液黏稠度增高,极易形成血栓。

  ❏压迫不当:透析后止血压迫时间过长、力度过大,或睡眠时意外压迫到内瘘侧肢体,都可能阻断血流,引发血栓。

  ❏高凝状态:部分患者因原发疾病或遗传因素,血液本身处于高凝状态,血栓形成风险远高于常人。


  了解原因,更要警惕后果。一旦内瘘血栓形成,会直接导致透析无法正常进行,如果不及时处理,还可能引起患者肢体肿胀、疼痛,严重者会因长期失功而丧失宝贵的血管资源,被迫采用更复杂、并发症更多的中心静脉置管,增加患者感染、中心静脉狭窄等风险,严重影响患者生存质量与寿命。


科室介绍

  中南大学湘雅二医院桂林医院血管外科,由国际著名血管外科专家舒畅教授领衔。目前有常驻湘雅专家1名,科室配备广西首台准分子激光、首台IVUS腔内超声及大隐静脉射频消融系统,医院开放DSA杂交手术间3间,科室医疗水平及设备环境处于广西一流水平。

  科室常规开展主动脉夹层、主动脉瘤、下肢动脉疾病、内脏动脉疾病和下肢深静脉血栓的诊治,同时开展下肢静脉曲张、血管瘤与血管畸形的微创及开放手术,以及透析通路的建立与维护。

  专家介绍

图片

舒畅

  外科学博士,美国斯坦福大学血管外科中心博士后,一级主任医师、二级教授,博士生(后)导师。中国医学科学院阜外医院血管外科中心主任、血管中心二病区主任。中南大学湘雅二医院血管中心主任,中南大学血管病研究所所长,中南大学湘雅二医院桂林医院血管外科主任,国家重点临床专科(普通外科)及卫健委外周血管介入诊疗培训基地学科带头人,国家心血管疾病临床医学研究中心主要研究者(PI)。

  任美国纽约大学西奈山医学中心(Englewood Hospital of MT Sinai)、耶鲁大学医学院、斯坦福大学医学院等客座教授。

  学术任职包括:国家心血管病专业质控中心专家委员会血管外科专家工作组组长;国家心血管病专业质控中心专家委员会委员;国家心血管病专家委员会血管外科专业委员会主任委员;国家心血管病专家委员会委员;国际血管联盟副主席;外周动脉疾病泛大西洋协作组(TASC)委员;美国血管外科学会(Society of Vascular Surgery,SVS)国际委员;阿根廷心血管外科学会荣誉国际委员;中华医学会外科学分会委员;中华医学会外科分会血管外科学组委员;欧美同学会大血管疾病分会荣誉会长;北京医学会血管外科学分会副主任委员;湖南省血管外科专业委员会荣誉主任委员等。

  获得奖励包括:中华医学科技奖一等奖、北京市科技进步一等奖、湖南省科技进步一等奖、湖南医学科技奖等10余项。个人荣誉包括“中国医师奖”,“全国卫生系统先进个人”,被美国中华医学基金会(CMB)评为“杰出教授”,首届“湘雅名医”,首批全国名医百强榜,荣耀医者“金柳叶刀奖”,“第九届国家卫生健康突出贡献中青年专家”,“国之名医,卓越建树奖”;中国医学科学院协和医学院长聘教授等。

  主要研究方向为大血管疾病的基础与临床研究,培养硕士、博士研究生60余人,在国内外SCI、CSCD、Medline等期刊上发表论文300余篇,其中SCI收录140余篇。主持国家自然科学基金、北京市科技计划重点专项、中国医学科学院重大协同创新工程等多项科研项目。获国际国内发明和实用新型专利14项。受邀在全国20余个省(区、市)200多家医院进行会诊及手术,曾赴德国、意大利、希腊、葡萄牙、土耳其、格鲁吉亚、白俄罗斯、乌克兰、俄罗斯等18个国家进行手术演示170余台。

  作为专场主席、点评专家,主持国际性会议20余次,赴美国、澳大利亚、意大利、法国、德国、英国、比利时等国家讲学70余场。2009-2011年连续三年受邀在美国外科学院年会以及欧洲血管外科年会做大会专题报告,2011-2019年连续在美国Veith国际血管论坛做大会报告,连续六年在CICE做大会报告及手术直播演示,连续4年在美国C3会议手术直播演示。作为三位共同主席之一,2013年在伦敦主持英国皇家医学院血管峰会并开辟中西方对话专场。为欧洲、北美洲、南美洲、东南亚等16个国家培训专科医师190余人次。

图片

李鑫

  湘雅二医院血管外科副主任,湘雅二医院桂林医院血管外科执行主任。外科学博士,血管外科主任医师,硕士研究生导师,中南大学血管病研究所副所长;美国耶鲁大学博士后;英国剑桥大学访问学者;德国莱比锡大学访问学者。

  国际血管联盟中国分会青年委员会常委;国家心血管病中心血管外科专业委员会下肢动脉学组委员;国家心血管病中心血管外科专业委员会青年委员;中国医师协会血管外科分委会下肢学组委员;中国医师协会介入分会大血管分委会委员;中国医师协会腔内血管学专业委员会糖尿病足专家委员会委员;中国医疗保健国际交流促进会糖尿病足病分会青年委员;中国研究型医院学会血管病专业委员会委员;湖南省医学会血管外科专业委员会副主任委员。

  共主持国家自然科学基金项目2项,参与国家自然科学基金项目3项,主持湖南省杰出青年基金项目1项,参与省级科研项目4项,主持中南大学前沿交叉课题1项;发表和参与发表英文和中文学术论文122篇(第一和通讯作者43篇)。获得国家发明专利3项,实用新型专利9项。

1d0048c75a3c1814d2aa7bf0759b6b9.jpg

王伦常

  博士,主治医师,中共党员,血管外科执行副主任,美国密歇根大学联合培养2年。主持国家自然科学基金青年项目1项、湖南省自然科学基金项目2项,主持医院医疗新技术1项,主持卫健委课题1项。发表中英文学术论文20余篇。作为参与人获湖南省医学十大临床创新技术奖一等奖。从事血管外科临床工作十余年,获医院“青年岗位能手”“十佳住院医师”等荣誉。

  擅长:血管外科专科疾病的诊治,包括主动脉夹层、主动脉溃疡胸主腹主动脉瘤,下肢静脉曲张的微创和开放手术,下肢动脉粥样硬化闭塞症、动脉栓塞、脉管炎与糖尿病足的微创治疗,血管瘤与血管畸形的微创和开放手术,下肢深静脉血栓的手术治疗,颈动脉狭窄、椎动脉狭窄、肾动脉狭窄、内脏动脉狭窄与内脏动脉瘤的诊治,以及复杂透析通路的建立与维护。

图片

姚松良

  外科学硕士,副主任医师,副教授。2005年毕业于桂林医学院,后获得桂林医学院外科学专业硕士学位,亚太血管学术联盟(APA)广西分会委员,广西中西医慢创协会委员,从事相关临床外科工作17年余。曾先后在中山大学第一附属医院、广西医科大学微创中心、中南大学湘雅二医院血管外科进修学习,主持自治区科研课题一项,在省级、国家级专业期刊发表学术论文数篇。

  擅长:血管外科各类疾病的诊断和介入、开放手术治疗,包括主动脉夹层、主动脉瘤、假性血管瘤、急性动脉血栓、下肢动脉硬化闭塞症、血栓闭塞性脉管炎、下肢深静脉血栓、先天性皮肤血管瘤、大隐静脉曲张的微创治疗等。

通讯员:卿红双

责任编辑:雷渝
相关信息
合作机构
生活网简介 | 网站地图 | 广告价格 | 联系我们 | 法律声明 | 建站服务 | 投稿