七旬高危患者命悬一线!二附院救治脑动脉瘤破裂合并重症心衰老人

发布时间:2026-04-13来源:桂林医科大学第二附属医院 阅读:

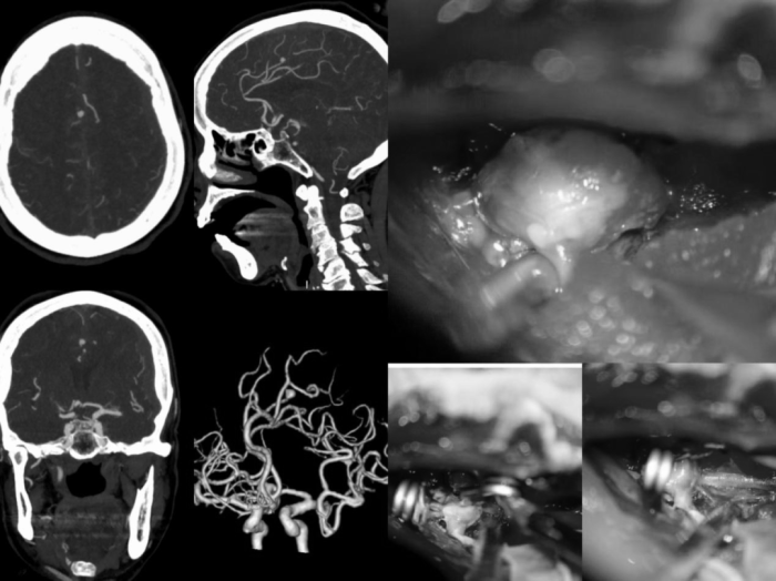
  近期,72岁高龄的黄奶奶(化名),突发意识障碍紧急入院,确诊为右侧大脑前动脉动脉瘤破裂伴蛛网膜下腔出血,同时合并左侧额颞顶硬膜下血肿,双重颅内病变叠加,病情极其危重。更棘手的是,黄奶奶本身患有严重心脏瓣膜疾病、慢性心力衰竭,基础状况极差,手术麻醉风险、术后管理难度均达到临床极高危级别,救治挑战巨大......

  黄奶奶不仅颅内病情危重,还合并严重心脏瓣膜疾病、慢性心力衰竭,基础身体条件极差,救治风险陡增。桂林医科大学第二附属医院神经外科联合心血管内科、麻醉科组建多学科协作救治团队,全程通力配合、精准施策,共同承担全程救治重任。

  神经外科团队凭借扎实的专业功底、成熟的手术经验,精心设计最优手术方案,果断为患者实施高难度开颅手术。术中精准定位、精细操作,一次手术同步完成动脉瘤夹闭与硬膜下血肿清除,一次性解决两大致命问题,彻底清除颅内所有隐患,手术成功。

  术后,神经外科对黄奶奶实施了24小时不间断精细化监护治疗,全程严密维护心功能、防控脑血管痉挛、预防各类并发症。

  在科室医护团队的精心治疗与专业护理下,黄奶奶闯过术后重重难关,意识逐渐清醒,生命体征平稳恢复,肢体功能、生活能力逐步改善,目前,已顺利康复出院。

  此次成功救治,充分展现了二附院神经外科在脑动脉瘤开颅手术、急危重症神经监护、高危合并症患者全程管理上的过硬综合救治能力,用精湛医术为危重患者筑牢生命防线。

  专家介绍

  李深誉

  神经外科 科室负责人

  主任医师,教授,在读博士

桂林市医学会神经外科学分会副主任委员

  广西神经调控联盟常务理事

  广西医师协会第二届胶质瘤委员会委员

  擅长各型颅脑损伤的外科手术及重症监护治疗,复杂颅脑颅底肿瘤的显微及神经内镜手术,脊髓肿瘤的显微手术治疗,脑干、丘脑及脑室出血的微创手术治疗,开颅动脉瘤夹闭术。脑深部电刺术(DBS)治疗帕金森病、植物人促醒、梅杰综合征、特发性震颤、肌张力障碍等运动障碍性疾病,脊髓电刺激术(SCS)治疗慢性意识障碍(昏迷促醒)、脑外伤或脑卒中后肢体痉挛瘫,三叉神经痛及面肌痉挛的微血管减压术,偏头痛的外科手术治疗,可逆性痴呆正常压力性脑积水的评估及外科手术,参与国家级课题多项,主持厅级科研课题2项,发表论文十余篇,其中SCI论文3篇。

  黄蕃俊

  神经外科副主任医师,医学硕士

  桂林医学会脑心同治委员会委员。毕业于桂林医科大学临床专业,曾到北京军区总医院附属八一脑外科医院进修学习,熟练掌握颅底及神经系统解剖。对神经外科常见病、多发病具有丰富诊治经验,掌握神经外科常规手术操作,擅长各型颅脑损伤、脑出血、脑肿瘤、脊髓肿瘤、神经系统感染的诊治。主持卫生厅科研课题1项,在省级以上期刊发表论文2篇。

  文、图、视频:莫扬武


责任编辑:雷渝
相关信息
合作机构
生活网简介 | 网站地图 | 广告价格 | 联系我们 | 法律声明 | 建站服务 | 投稿