揪心!10岁娃突发失语、肢体偏瘫,我院精准施策,圆满护航康复

发布时间:2026-03-03来源:桂林医科大学第二附属医院 阅读:

  10岁患儿突发失语和偏瘫

  我院神经外科团队精准救治圆满康复

  近期,我院神经外科团队成功救治一名突发失语、右侧肢体偏瘫的10岁脑脓肿患儿。经过科室周密细致的诊疗计划、精准手术治疗及术后系统康复理疗,患儿现已完全康复,右侧肢体肌力恢复至5级,言语功能完全恢复正常。

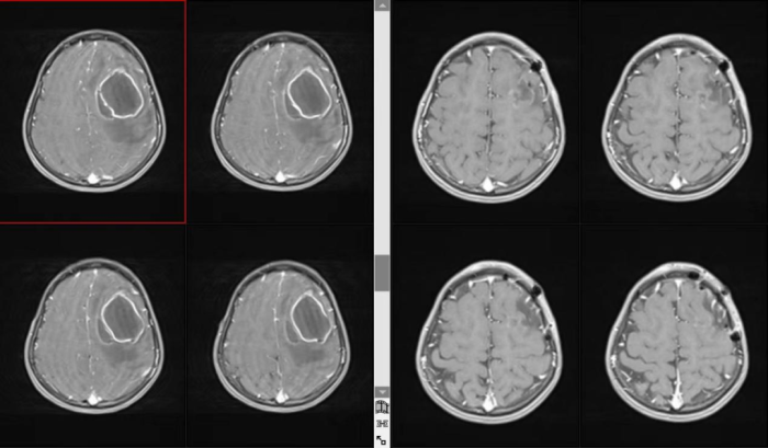
  患儿因突发失语、右侧肢体偏瘫3天紧急入院,病情进展迅速,神经功能受损明显,家属十分焦急。科室接诊后高度重视,立即完善头颅磁共振增强等相关检查,迅速明确诊断为脑脓肿。由于病变位于重要神经功能区,压迫导致语言及运动功能障碍,病情凶险,若延误治疗极可能造成永久性神经功能损伤,甚至危及生命。

  在科室主任李深誉主任医师带领下,医疗团队快速制定个体化、精细化的诊疗方案,为患儿实施了脓肿切除+引流手术。术中操作精准,最大限度保护正常脑组织,顺利完成颅内“拆弹”。术后早期联合康复医学科开展针对性肢体功能训练、言语康复训练及综合理疗,同时给予规范抗感染、营养神经、精细护理等全方位支持治疗。

  经过积极救治与精心照护,患儿恢复情况远超预期:术后右侧肢体肌力恢复至5级,言语表达清晰流畅,可正常交流、活动自如,顺利回归健康状态。

医学科普

  儿童脑脓肿需早识别、早干预

  脑脓肿是指化脓性细菌感染引起的脑组织化脓性炎症,并形成局限性脓液积聚,属于危重神经系统感染性疾病。儿童由于免疫力较弱,一旦发生中耳炎、鼻窦炎、头部外伤或全身感染等疾病,病菌易侵入颅内,形成脑脓肿。

  儿童脑脓肿起病隐匿、进展快、危害大,常见表现包括头痛、呕吐、发热、精神差,当脓肿压迫功能区时,可迅速出现肢体偏瘫、失语、行走不稳、抽搐等症状,极易被误诊或漏诊。若治疗不及时,可导致脑疝、昏迷,甚至死亡,部分患儿还会遗留永久残疾。

  李深誉主任医师提醒:儿童出现不明原因发热、头痛、肢体无力、言语异常时,应尽早到医院进行头颅影像学检查,早发现、早诊断、早治疗是改善预后、降低致残率的关键。

  此次危重患儿的成功救治,充分展现了我院神经外科在神经重症、脑脓肿等复杂疾病的诊疗实力,体现了精准手术、规范治疗、早期康复、多学科协作的综合优势。未来,科室将继续以精湛的医疗技术、优质的医疗服务,为广大患者的生命健康保驾护航。

  专家介绍

  李深誉

  科室副主任

  主任医师  副教授

  在读博士

图片

桂林市医学会神经外科学分会副主任委员

  广西神经调控联盟常务理事

  广西医师协会第二届胶质瘤委员会委员

  擅长各型颅脑损伤的外科手术及重症监护治疗,复杂颅脑颅底肿瘤的显微及神经内镜手术,脊髓肿瘤的显微手术治疗,脑干、丘脑及脑室出血的微创手术治疗,开颅动脉瘤夹闭术。脑深部电刺激术(DBS)治疗帕金森病、植物人促醒、梅杰综合征、特发性震颤、肌张力障碍等运动障碍性疾病,脊髓电刺激术(SCS)治疗慢性意识障碍(昏迷促醒)、脑外伤或脑卒中后肢体痉挛瘫,三叉神经痛及面肌痉挛的微血管减压术,偏头痛的外科手术治疗,可逆性痴呆正常压力性脑积水的评估及外科手术,参与国家级课题多项,主持厅级科研课题2项,发表论文十余篇,其中SCI论文3篇。

  文、图:莫扬武

责任编辑:雷渝
相关信息
合作机构
生活网简介 | 网站地图 | 广告价格 | 联系我们 | 法律声明 | 建站服务 | 投稿