凶险!近5cm巨瘤紧邻生命中枢,二附院成功拆除颅内隐患

发布时间:2026-03-03来源:桂林医科大学第二附属医院 阅读:

  我院成功切除

  5cm巨大小脑幕下脑膜瘤

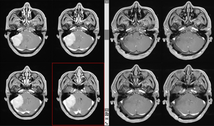
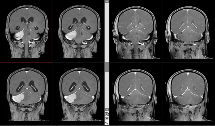
  近期,我院神经外科团队成功为一名40岁男性患者实施巨大小脑幕下脑膜瘤近全切除术。该患者肿瘤体积接近5cm,压迫脑干,挤压第四脑室并引发梗阻性脑积水,病情极度凶险。该科团队凭借精湛的显微技术与丰富经验,成功为患者拆除颅内“定时炸弹”,患者术后顺利康复。

  患者因反复头痛8月余来到我院神经外科就诊。据患者自述,半年前已在外院检查发现小脑幕下脑膜瘤,但因肿瘤巨大、位置险要、紧邻生命中枢,外院评估手术风险极高,无把握完成手术。

  入院后,我院进一步完善影像学检查,初步诊断为右侧小脑幕下脑膜瘤,肿瘤最大径接近5cm,属于巨大脑膜瘤。肿瘤压迫脑干,挤压第四脑室,造成梗阻性脑积水,颅内压力持续升高,患者随时可能发生头痛加剧、意识昏迷、呼吸心跳骤停,病情极其危急。

  在科室负责人李深誉主任医师主持下,全面评估手术风险、制定周密的显微手术方案与应急预案,充分做好术前准备。手术中,团队在高清显微镜下精细操作,仔细分离肿瘤与小脑、重要血管及神经结构,分块切除肿瘤组织,最终实现肿瘤近全切除,完美保护了所有神经功能结构,手术取得圆满成功。

  术后,患者接受规范监护治疗、并发症防控及早期康复理疗,头痛症状完全消失,神经功能恢复良好,未出现明显后遗症,顺利康复出院。

医学科普

  小脑幕下巨大脑膜瘤为何

  被称为“生命禁区”病变?

  脑膜瘤是颅内常见的良性肿瘤,生长相对缓慢,但生长于小脑、颅底、脑干周边的脑膜瘤,一旦体积巨大,将变得极度凶险,是神经外科公认的高难度手术之一。

  小脑区域空间狭小,前方紧邻脑干-人体的呼吸、心跳、血压、意识中枢,同时毗邻控制平衡、协调运动的小脑组织,并与负责脑脊液循环的第四脑室紧密相连。

  当脑膜瘤体积超过4-5cm成为巨大肿瘤时,会带来三重致命风险:

  1、直接压迫脑干:导致肢体无力、行走不稳、吞咽困难,严重时可致呼吸心跳骤停;

  2、压迫第四脑室:引发梗阻性脑积水,颅内压急剧升高,出现剧烈头痛、呕吐、昏迷,短时间内可危及生命;

  3、包裹重要血管神经:手术极易造成大出血、神经损伤,致残、致死率极高。

  正因如此,巨大小脑脑膜瘤手术难度大、风险高,对医院设备条件、医生显微技术、团队配合度都提出极高要求,也是许多医院难以开展此类手术的核心原因。

  李深誉提醒:长期反复头痛、头晕、行走不稳、恶心呕吐等症状,都可能是颅内肿瘤的早期信号。一旦发现颅内占位,应尽早到专业神经外科就诊,早诊断、早干预、早治疗,可显著降低手术风险。

  此次巨大小脑幕下脑膜瘤的成功切除,再次彰显了我院神经外科在巨大脑膜瘤、危重型脑积水等领域的较高的诊疗水平与综合救治能力。未来,科室将继续深耕显微神经外科技术,以更精准、更安全、更高效的医疗服务,守护每一位患者的生命健康。

  专家介绍

  李深誉

  科室负责人

  主任医师  教授

  在读博士

桂林市医学会神经外科学分会副主任委员

  广西神经调控联盟常务理事

  广西医师协会第二届胶质瘤委员会委员

  擅长各型颅脑损伤的外科手术及重症监护治疗,复杂颅脑颅底肿瘤的显微及神经内镜手术,脊髓肿瘤的显微手术治疗,脑干、丘脑及脑室出血的微创手术治疗,开颅动脉瘤夹闭术。脑深部电刺激术(DBS)治疗帕金森病、植物人促醒、梅杰综合征、特发性震颤、肌张力障碍等运动障碍性疾病,脊髓电刺激术(SCS)治疗慢性意识障碍(昏迷促醒)、脑外伤或脑卒中后肢体痉挛瘫,三叉神经痛及面肌痉挛的微血管减压术,偏头痛的外科手术治疗,可逆性痴呆正常压力性脑积水的评估及外科手术,参与国家级课题多项,主持厅级科研课题2项,发表论文十余篇,其中SCI论文3篇。

  文、图:莫扬武

责任编辑:雷渝
相关信息
合作机构
生活网简介 | 网站地图 | 广告价格 | 联系我们 | 法律声明 | 建站服务 | 投稿